Alteration of Porcine Serum Albumin Levels in Pork Meat by Marination in Kiwi or Pineapple Juice and Subsequent Pan Broiling
- PMID: 26761177
- PMCID: PMC4597859
- DOI: 10.5851/kosfa.2014.34.3.355
Alteration of Porcine Serum Albumin Levels in Pork Meat by Marination in Kiwi or Pineapple Juice and Subsequent Pan Broiling
Abstract
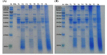
This study was conducted to evaluate the changes in porcine serum albumin (PSA), a major allergen, which occur when raw pork ham is marinated with kiwi or pineapple juice, and/or when the ham is pan broiled at 300℃ for 4 min after marination. In this study, raw pork ham was soaked for 4 h or 8 h in marinades containing commercial marinating sauce only, commercial marinating sauce and 7% kiwi juice, or commercial marinating sauce and 7% pineapple juice. When the meat was marinated and then pan-broiled, pork ham meat protein was significantly denatured and hydrolyzed, and the level of PSA in the meat was significantly reduced. The PSA contents of pork broiled without marination, pork that had been marinated in commercial marinating sauce alone, pork that had been marinated in commercial marinating sauce with kiwi juice, and pork that had been marinated in commercial marinating sauce with pineapple juice, were 95.4, 43.3, 14.3, and 5.4 ng/mL, respectively (p<0.05). Marinating with pineapple juice was more effective than marinating with kiwi juice; and marination for 8 h was more effective than marinating for 4 h. These results indicate that the level of PSA in pork ham is effectively reduced, when the meat is first marinated in sauces that contain kiwi or pineapple extracts for 8 h, rather than 4 h, and then cooked. Further study is needed to determine whether marinated pork meat reduces allergenicity in vivo, as well.
Keywords: allergen; marinating; porcine serum albumin; pork ham; sandwich ELISA.
Figures



References
-
- Cho E. D., Kim D. S., Jung K. H. Identification of the chicken meat allergens. J. App. Pharm. (2001);9:7–14.
-
- Chung H. J., Park J. H., Kim J. H., Kim Y. O., Chung S.T., Kim J. H., Cho E. D., Cho D. H., Noh G. W., Kim D. S. Identification of allergens in pork meat. J. Pharm. Korea. (2001);45:39–45.
-
- El-Gharbawi M., Witaker J. R. Factors affecting enzymatic solubilization of beef proteins. J. Food Sci. (1963);28:168–172. doi: 10.1111/j.1365-2621.1963.tb00177.x. - DOI
LinkOut - more resources
Full Text Sources
Other Literature Sources
Research Materials
Miscellaneous