Pancreatic hamartoma: a case report and literature review
- PMID: 26762320
- PMCID: PMC4712467
- DOI: 10.1186/s12876-016-0419-2
Pancreatic hamartoma: a case report and literature review
Abstract
Background: Pancreatic hamartoma is an extremely rare benign disease of the pancreas. Only 30 cases have been reported to date.
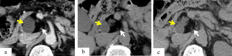
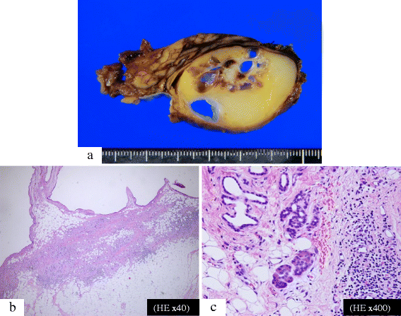
Case presentation: A 68-year-old man presented with an asymptomatic solid and multi-cystic lesion in the uncus of the pancreas, incidentally detected on abdominal enhanced computed tomography. The tumor was found to be a well-demarcated solid and multi-cystic lesion without any enhancement, measuring 4 cm in diameter. After 28 months of follow-up, the tumor enlarged. At 31 months after initial diagnosis, the patient underwent surgical resection because it was difficult to clinically determine whether the tumor was malignant or not. Macroscopically, the solid tumor consisted of yellow adipose tissue with a smooth thin capsule confined to the pancreatic uncus. The inner structure of the tumor consisted of multiple cysts with a white nodule between the cysts. Histologically, the solid part and the multi-cystic portion consisted of mature adipose tissue and colonization of dilated pancreatic ducts with mild fibrosis, respectively. Immunohistochemical findings revealed cytokeratin 7 and 19 positive staining in the epithelial cells of the ducts. Adipose tissue showed positive staining for S-100 protein and there were only a few MIB-1 positive cells. The tumor was then diagnosed as a pancreatic hamartoma.
Conclusion: Beside on the above findings, we suggest that the term "well-demarcated solid and cystic lesion with chronological morphological changes" could be a clinical keyword to describe pancreatic hamartomas.
Figures





References
Publication types
MeSH terms
LinkOut - more resources
Full Text Sources
Other Literature Sources
Medical
Research Materials