Clinical Management of a Peri-Implant Giant Cell Granuloma
- PMID: 26788379
- PMCID: PMC4691601
- DOI: 10.1155/2015/976756
Clinical Management of a Peri-Implant Giant Cell Granuloma
Abstract
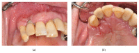
Purpose. Implant therapy plays an important role in contemporary dentistry with high rates of long-term success. However, in recent years, the incidence of peri-implantitis and implant failures has significantly increased. The peripheral giant cell granuloma (PGCG) rarely occurs in peri-implant tissues and it is clinically comparable to the lesions associated with natural teeth. Therefore, the study of possible diseases associated with dental implants plays an important role in order to be able to diagnose and treat these conditions. Materials and Methods. This report described a 60-year-old Caucasian male who presented a reddish-purple pedunculated mass, of about 2 cm in diameter, associated with a dental implant and the adjacent natural tooth. Results. An excisional biopsy was performed and the dental implant was not removed. Histological examination provided the diagnosis of PGCG. After 19-month follow-up, there were no signs of recurrence of peri-implantitis around the implant. Conclusion. The correct diagnosis and appropriate surgical treatment of peri-implant giant cell granuloma are very important for a proper management of the lesion in order to preserve the implant prosthetic rehabilitation and prevent recurrences.
Figures









References
-
- Flaitz C. M. Peripheral giant cell granuloma: a potentially aggressive lesion in children. Pediatric Dentistry. 2000;22(3):232–233. - PubMed
-
- Chaparro Avendaño A. V., Berini Aytés L., Gay Escoda C. Peripheral giant cell granuloma. A report of five cases and review of the literature. Medicina Oral, Patologia Oral y Cirugia Bucal. 2005;10(1):48–57. - PubMed
-
- Cawson R. A., Binnie W. H., Barrett A. W., Wright J. M. Patologia Orale. 3rd. Rome, Italy: Antonio Delfino Editore; 1999.
-
- Giansanti J. S., Waldron C. A. Peripheral giant cell granuloma: review of 720 cases. Journal of Oral Surgery. 1969;27(10):787–791. - PubMed
LinkOut - more resources
Full Text Sources
Other Literature Sources