Azacitidine-induced cryptogenic organizing pneumonia: a case report and review of the literature
- PMID: 26791087
- PMCID: PMC4721185
- DOI: 10.1186/s13256-016-0803-0
Azacitidine-induced cryptogenic organizing pneumonia: a case report and review of the literature
Abstract
Background: Myelodysplasia syndrome is a heterogeneous group of hematological disorders that are characterized by abnormal morphology and cytopenias of bone marrow elements. Azacitidine is a hypomethylating agent that is commonly used in treatment of myelodysplasia syndrome. We present an extremely rare case of cryptogenic organizing pneumonia following therapy with azacitidine and a review of the relevant literature. This is the fifth case of azacitidine-induced interstitial lung disease and the sixth one due to hypomethylating drugs; of interest, this is the first reported case that has occurred after the second cycle. Our case report highlights an important, potentially treatable and rare side effect of azacitidine and hypomethylating agents in general that might be overlooked by oncologists. Furthermore, our review of the literature showed heterogeneity in the clinical outcome which might, in part, be due to delay in initiating corticosteroids treatment.
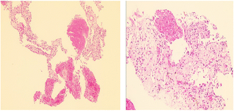
Case presentation: A 67-year-old white man presented with worsening shortness of breath and mild productive cough that started 1 week prior to his presentation. An initial chest X-ray showed infiltration of both lung fields. Radiographic findings of computed axial tomography, results of bronchoscopy and a lung biopsy were consistent with cryptogenic organizing pneumonia. The patient showed variable clinical response to steroids and he remained dependent on home oxygen.
Conclusions: We concluded that there is a recognizable potentially life-threatening toxicity due to organizing pneumonia secondary to azacitidine in the setting of myelodysplasia syndrome treatment. This toxicity is not limited to the first cycle as in previous cases; furthermore, pleural effusion can be associated with this toxicity. Health care professionals should be aware of this recognizable side effect. Early recognition and timely management are critical to prevent permanent lung fibrosis.
Figures
References
-
- French registry of acute leukemia and myelodysplastic syndromes Age distribution and hemogram analysis of the 4496 cases recorded during 1982-1983 and classified according to FAB criteria. Groupe Francais de Morphologie Hematologique. Cancer. 1987;60(6):1385–94. doi: 10.1002/1097-0142(19870915)60:6<1385::AID-CNCR2820600637>3.0.CO;2-I. - DOI - PubMed
Publication types
MeSH terms
Substances
LinkOut - more resources
Full Text Sources
Other Literature Sources
Medical
