Emergence of micronuclei as a genomic biomarker
- PMID: 26811590
- PMCID: PMC4711219
- DOI: 10.4103/0971-5851.171541
Emergence of micronuclei as a genomic biomarker
Abstract
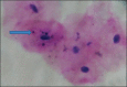
The presence of micronuclei (MN) in mammalian cells is related to several mutagenetic stresses. MN are formed as a result of chromosome damage and can be readily identified in exfoliated epithelial cells. MN is chromatin particles derived from acentric chromosomal fragments, which are not incorporated into the daughter nucleus after mitosis. It can be visualized by chromatin stains. A variety of factors influences the formation of MN in cells such as age, sex, genetic constitution, physical and chemical agents, adverse habits such as tobacco, areca nut chewing, smoking, and alcohol consumption. Micronucleation has important implications in the genomic plasticity of tumor cells. The present paper reviews the origin, fate and scoring criteria of MN that serves as a biomarker of exposure to genetic toxins, and for the risk of cancer.
Keywords: Aneugens; clastogens; micronuclei.
Conflict of interest statement
Figures



References
-
- Alexandrescu I, Havarneanu D, Popa D. New approaches in biomonitring human populations exposed to genotoxic agents: Epithelial cell micronucleus assay. J Preventive Med. 2006;14:57–65.
-
- Veerachari U, Venkatesh S, Yadav A, Narayanappa R. Biomonitring genetic instability in normal healthy population using a simple cytogenetic marker-micronucleus test. Int Multidiscip Res J. 2011;1:1–9.
-
- Sivasankari NP, Reddy KS, Kaur S, Vivekanandam S, Rao KR. Micronucleus index: An early diagnosis in oral carcinoma. J Anat Soc India. 2008;57:8–13.
-
- Sellappa S, Balakrishnan M, Raman S, Palanisamy S. Induction of micronuclei in buccal mucosa on chewing a mixture of betel leaf, areca nut and tobacco. J Oral Sci. 2009;51:289–92. - PubMed
-
- Unal M, Celik A, Ates NA, Micozkadioglu D, Derici E, Pata YS, et al. Cytogenetic biomonitoring in children with chronic tonsillitis: Micronucleus frequency in exfoliated buccal epithelium cells. Int J Pediatr Otorhinolaryngol. 2005;69:1483–8. - PubMed
Publication types
LinkOut - more resources
Full Text Sources
Other Literature Sources