Enlarging mediastinal/hilar lymphadenopathy with calcification
- PMID: 26862422
- PMCID: PMC4736512
- DOI: 10.1002/ccr3.451
Enlarging mediastinal/hilar lymphadenopathy with calcification
Abstract
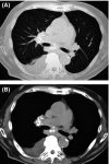
A 77-year-old man was referred to our hospital due to enlarging mediastinal/hilar lymphadenopathy with calcification. Endobronchial ultrasound-guided transbronchial needle aspiration (EBUS-TBNA) and bone marrow aspiration were performed. Subsequently, monoclonal gammopathy of undetermined significance (MGUS) associated with mediastinal amyloidosis was diagnosed. We hereby report a case in which EBUS-TBNA led to a successful diagnosis of amyloidosis.
Keywords: endobronchial ultrasound‐guided transbronchial needle aspiration; mediastinal/hilar amyloidosis.
Figures
References
LinkOut - more resources
Full Text Sources
Other Literature Sources
