Endoscopic sleeve gastroplasty with 1-year follow-up: factors predictive of success
- PMID: 26878054
- PMCID: PMC4751018
- DOI: 10.1055/s-0041-110771
Endoscopic sleeve gastroplasty with 1-year follow-up: factors predictive of success
Abstract
Background and study aims: Bariatric endoscopy has emerged as an aid in the nonsurgical treatment of obesity. The objective of this study is to critically provide the results and follow-up of endoscopic sleeve gastroplasty 1 year after the procedure.
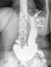
Patients and methods: Prospective single-center follow-up study of 25 patients (5 men, 20 women) who underwent flexible endoscopic suturing for endoluminal gastric volume reduction. A multidisciplinary team provided post-procedure care. Patient outcomes were recorded at 1 year after the procedure. Linear regression analysis was done to evaluate the variables associated with best results at 1 year of follow-up.
Results: Mean body mass index (BMI) was 38.5 ± 4.6 kg/m(2) (range 30 - 47) and mean age 44.5 ± 8.2 years (range 29 - 60). At 1 year, 22 patients continued with the follow-up (2 dropped out at 6 months and 1 at 3 months). There were no major intra-procedural, early, or delayed adverse events. Mean BMI loss was 7.3 ± 4.2 kg/m(2), and mean percentage of total body weight loss was 18.7 ± 10.7 at 1 year. In the linear regression analysis, adjusted by initial BMI, variables associated with %TBWL involved the frequency of nutritional (β = 0.563, P = 0.014) and psychological contacts (β = 0.727, P = 0.025). The number of nutritional and psychological contacts were predictive of good weight loss results.
Conclusions: Endoscopic sleeve gastroplasty is a feasible, reproducible, and effective procedure to treat obesity. Nutritional and psychological interaction are predictive of success.
Conflict of interest statement
Figures
References
-
- Fogel R, De Fogel J, Bonilla Y. et al.Clinical experience of transoral suturing for an endoluminal vertical gastroplasty: 1-year follow-up in 64 patients. Gastrointest Endosc. 2008;68:51–58. - PubMed
-
- Brethauer S A, Chand B, Schauer P R. et al.Transoral gastric volume reduction for weight management: technique and feasibility in 18 patients. Surg Obes Relat Dis. 2010;6:689–694. - PubMed
-
- Abu Dayyeh B K, Rajan E, Gostout C J. Endoscopic sleeve gastroplasty: a potential endoscopic alternative to surgical sleeve gastrectomy for treatment of obesity. Gastrointest Endosc. 2013;78:530–535. - PubMed
-
- Lopez-Nava G, Galvão M P, da Bautista-Castaño I. et al.Endoscopic sleeve gastroplasty for the treatment of obesity. Endoscopy. 2015;47:449–452. - PubMed
LinkOut - more resources
Full Text Sources
Other Literature Sources
Medical
