Allium hookeri root protects oxidative stress-induced inflammatory responses and β-cell damage in pancreas of streptozotocin-induced diabetic rats
- PMID: 26888412
- PMCID: PMC4756415
- DOI: 10.1186/s12906-016-1032-1
Allium hookeri root protects oxidative stress-induced inflammatory responses and β-cell damage in pancreas of streptozotocin-induced diabetic rats
Abstract
Background: Water extract from the root of Allium hookeri (AH) shows anti-inflammatory, antioxidant, and free radical scavenging effects. In this study, the ameliorating effects of AH on oxidative stress-induced inflammatory response and β-cell damage in the pancreas of streptozotocin (STZ)-induced type 1 diabetic rats were investigated.
Methods: AH (100 mg/kg body weight/day) was orally administered every day for 2 weeks to STZ-induced diabetic rats. After the final administration of AH, biochemical parameters including glucose, insulin, reactive oxygen species levels, and protein expressions related to antioxidant defense system in the pancreas of STZ-induced diabetic rats.
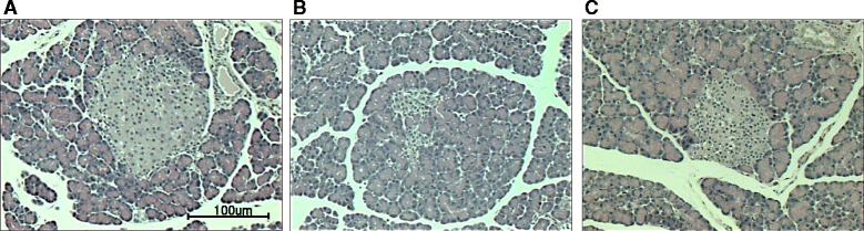
Results: The diabetic rats showed loss of body weight and increased pancreatic weight, while the oral administration of AH attenuated body and pancreatic weight changes. Moreover, the administration of AH caused a slightly decrease in the serum glucose level and a significant increase in the serum and pancreatic insulin levels in the diabetic rats. AH also significantly reduced the enhanced levels of reactive oxygen species, oxidative stress biomarker, in the serum and pancreas. The diabetic rats exhibited a down-regulation of the protein expression related to antioxidant defense system in the pancreas, but AH administration significantly up-regulated the expression of the heme oxygenase-1 (HO-1). Furthermore, AH treatment was reduced the overexpression of nuclear factor-kappa B (NF-кB)p65 and NF-кBp65-induced inflammatory cytokines such as tumor necrosis factor-α and interleukin-6. In addition, AH treatment was less pancreatic β-cell damaged compared with those of the diabetic rats.
Conclusion: These results provide important evidence that AH has a HO-1 activity on the oxidative stress conditions showing pancreato-protective effects against the development of inflammation in the diabetic rats. This study provides scientific evidence that AH protects the inflammatory responses by modulated NF-кBp65 signaling pathway through activation of HO-1 in the pancreas of STZ-induced diabetic rats.
Figures
References
-
- Szkudelski T. The mechanism of alloxan and streptozotocin action in B cells of the rat pancreas. Physiol Res. 2001;50:537–46. - PubMed
Publication types
MeSH terms
Substances
LinkOut - more resources
Full Text Sources
Other Literature Sources
Medical
