Laparoscopic Repair of Foramen of Winslow Hernia
- PMID: 26900313
- PMCID: PMC4758848
- DOI: 10.1055/s-0033-1363497
Laparoscopic Repair of Foramen of Winslow Hernia
Abstract
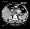
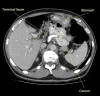
Foramen of Winslow hernia is a rare surgical entity with very few reported cases in literature. Preoperative diagnosis used to be difficult but with emerging computed tomography technology, diagnosing this internal abdominal hernia has become easier. We present an unusual case report of foramen of Winslow hernia in a 77-year-old patient who presented with severe abdominal pain. The patient underwent laparoscopic repair of the hernia and recovered well postoperatively. This presentation of symptoms in a 77-year-old male is unusual and laparoscopic management of foramen of Winslow hernia presents an interesting and challenging management scenario.
Keywords: epiploic foramen; epiploic hernia; foramen of Winslow hernia; hernia into lesser sac; internal abdominal hernia.
Figures
References
-
- Martin L C, Merkle E M, Thompson W M. Review of internal hernias: radiographic and clinical findings. AJR Am J Roentgenol. 2006;186(3):703–717. - PubMed
-
- Takeyama N, Gokan T, Ohgiya Y. et al.CT of internal hernias. Radiographics. 2005;25(4):997–1015. - PubMed
-
- Lane-Roberts PA Hernia through the foramen of Winslow. Guy's Hosp Rep. 1953;102:253–264. - PubMed
Publication types
LinkOut - more resources
Full Text Sources
Other Literature Sources
