Contiguous multiple cervicothoracic spinous process fractures in an adult: A case report
- PMID: 26908976
- PMCID: PMC4735562
- DOI: 10.1016/j.jcot.2015.04.010
Contiguous multiple cervicothoracic spinous process fractures in an adult: A case report
Abstract
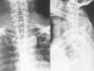
Fracture of isolated spinous processes at multiple levels is a rare injury. Herein, we present a 45-year-old male with cervical pain and swelling following a road traffic accident. Computerized tomography and magnetic resonance imaging revealed fractures of spinous process from C7 to D6 vertebra. The patient was managed with rest, analgesics and immobilization. At the 1-year follow-up, the patient is doing well without any neurological problem.
Keywords: Clay shoveler's fracture; Magnetic resonance imaging; Multiple; Spinous process.
Figures
References
-
- Umredkar A., Sura S., Mohindra S. Multiple contiguous isolated spinous process fracture (Clay-shoveler's fracture) of the cervicodorsal spine. Neurol India. 2011;59(September–October (5)):788–789. - PubMed
-
- Akhaddar A., El-asri A., Boucetta M. Multiple isolated thoracic spinous process fractures (Clay-shoveler's fracture) Spine J. 2011;11(May (5)):458–459. - PubMed
-
- Solaroğlu I., Kaptanoğlu E., Okutan O., Beşkonakli E. Multiple isolated spinous process fracture (Clay-shoveler's fracture) of cervical spine: a case report. Ulus Travma Acil Cerrahi Derg. 2007;13(April (2)):162–164. - PubMed
-
- Hestroni I., Mann G., Dolev E., Morgenstern D., Nyska M. Clay shoveler's fracture in a volleyball player. Phys Sportsmed. 2005;33(July (7)):38–42. - PubMed
-
- Kang D.H., Lee S.H. Multiple spinous process fractures of the thoracic vertebrae (Clay-shoveler's fracture) in a beginning golfer: a case report. Spine (Phila Pa 1976) 2009;34(July (15)):E534–E537. - PubMed
LinkOut - more resources
Full Text Sources
Other Literature Sources
Miscellaneous
