ISFM Consensus Guidelines on the Diagnosis and Management of Feline Chronic Kidney Disease
- PMID: 26936494
- PMCID: PMC11148907
- DOI: 10.1177/1098612X16631234
ISFM Consensus Guidelines on the Diagnosis and Management of Feline Chronic Kidney Disease
Abstract
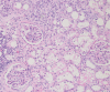
Practical relevance: Chronic kidney disease (CKD) is one of the most commonly diagnosed diseases in older cats. In most cats, CKD is also a progressive disease and can be accompanied by a wide range of clinical and clinicopathological changes. These ISFM Consensus Guidelines have been developed by an independent panel of clinicians and academics to provide practical advice on the diagnosis and management of this complex disease.
Clinical challenges: Although CKD is a common clinical problem in cats, the manifestations of disease vary between individuals. Thus there is a need for careful and repeat evaluation of cats with CKD and adjustment of therapy according to individual needs. In addition to addressing problems arising from CKD and improving quality of life (QoL) for the patient, therapy may also target slowing the underlying progression of disease and hence prolonging life. While maintaining QoL is of paramount importance in our patients, this can be challenging when multiple therapies are indicated. In some cases it is necessary to prioritise therapy, given an understanding of what is likely to most benefit the individual patient.
Evidence base: In preparing these Guidelines, the Panel has carefully reviewed the existing published literature, and has also graded the quality of evidence for different interventions to help to provide practical recommendations on the therapeutic options for feline CKD. This is a field of veterinary medicine that has benefited from some excellent published clinical research and further research findings will undoubtedly modify the recommendations contained in these Guidelines in the future.
© The Author(s) 2016.
Conflict of interest statement
Jonathan Elliott has acted as a paid consultant for CEVA Animal Health, Boehringer Ingelheim, Pfizer (now Zoetis), Bayer, Idexx, Novartis Animal Health, Waltham Centre for Pet Nutrition and Royal Canin; he has research grant funding and contracts to work on kidney disease in cats from CEVA Animal Health, Orion, Zoetis, Royal Canin and Novartis Animal Health (now Elanco Animal Health). Natalie Finch has received research funding from Boehringer Ingelheim. Catherine Langston is a paid consultant for Bayer and for Abaxis. Hervé Lefebvre has received grants/research contracts and/or performs consulting for Royal Canin, Novartis Animal Health, CEVA Animal Health and Bayer.
Figures














































References
-
- O’Neill DG, Church DB, McGreevy PD, et al.. Prevalence of disorders recorded in cats attending primary-care veterinary practices in England. Vet J 2014; 202: 286–291. - PubMed
-
- White JD, Norris JM, Baral RM, et al.. Naturally-occurring chronic renal disease in Australian cats: a prospective study of 184 cases. Aust Vet J 2006; 84: 188–194. - PubMed
-
- Lulich JP, Osborne CA, O’Brien TD, et al.. Feline renal failure: questions, answers, questions. Compen Contin Educ Pract Vet 1992; 14: 127–152.
Publication types
MeSH terms
LinkOut - more resources
Full Text Sources
Other Literature Sources
Medical
Miscellaneous