Fusion or gemination? An unusual mandibular second molar
- PMID: 26945485
- PMCID: PMC4802131
- DOI: 10.1016/j.ijscr.2015.12.010
Fusion or gemination? An unusual mandibular second molar
Abstract
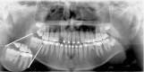
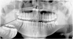
Fusion and gemination is not an uncommon finding and affected most primary dentition and the permanent maxillary incisors. These changes can develop a series of complication. A 11-year-old male presented radiography finding: an unusual mandibular second molar. A well-documented case brings a challenge for radiologists classify between fusion and gemination. In conclusion, this alteration although common in other regions, there are no case in the literature involving "second and third" molar.
Keywords: Abnormalities; Molar; Panoramic radiography; Tomography.
Copyright © 2016. Published by Elsevier Ltd.
Figures









References
-
- Grover P.S., Lorton L. Gemination and twinning in the permanent dentition. Oral Surg. Oral Med. Oral Pathol. 1985;59:313–318. - PubMed
-
- Kremeier K., Pontius O., Klaiber B., Hülsmann M. Nonsurgical endodontic management of a double tooth: a case report. Int. Endod. J. 2007;40:908–915. - PubMed
-
- Tannenbaum K.A., Ailing E.E. Anomalous tooth development: case reports of gemination and twinning. Oral Surg. Oral Med. Oral Pathol. 1963;16:883–887. - PubMed
-
- Stabholz A., Friedman F. Endodontic therapy of an unusual maxillary permanent first molar. J. Endod. 1983;9(7):293–295. - PubMed
LinkOut - more resources
Full Text Sources
Other Literature Sources