Electrocardiographic clue for a mid-LAD lesion
- PMID: 26989113
- PMCID: PMC4800211
- DOI: 10.1136/bcr-2015-213046
Electrocardiographic clue for a mid-LAD lesion
Abstract
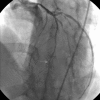
ECG is still the first diagnostic tool for coronary artery disease. It is possible to predict the localisation of affected vessel(s) through ST and T changes on ECG. Sometimes, reciprocal changes may be the only marker of acute myocardial ischaemia, as single T-wave inversion in lead aVL may represent a coronary artery lesion in the left anterior descending (LAD). A 49-year-old woman presented to the emergency department, with left-sided chest pain. Her initial ECG showed no ischaemic changes. On the third hour ECG there was T-wave inversion in leads aVL and V2, and troponin turned positive. Coronary angiography showed 90% mid-LAD occlusion. The importance of this case is that patients with ischaemic chest pain should be followed with serial ECG. Also, emergency physicians should be alert to identify new changes on ECG, as isolated T-wave inversion in lead aVL can be the only finding to take the patient into the catheterisation laboratory.
2016 BMJ Publishing Group Ltd.
Figures




References
Publication types
MeSH terms
LinkOut - more resources
Full Text Sources
Other Literature Sources
Medical