A rare case of giant vaginal fibromyoma
- PMID: 26989649
- PMCID: PMC4761584
- DOI: 10.5582/irdr.2015.01037
A rare case of giant vaginal fibromyoma
Abstract
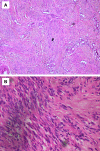
Vaginal fibroids rarely exist as a primary vaginal tumor. Approximately 300 cases have been reported in the literature. Here we are reporting a rare case of giant vaginal fibromyoma. It was diagnosed as cervical fibroid polyp preoperatively but found to be vaginal fibromyoma peroperatively.
Keywords: Vaginal fibromyoma; hysterectomy.
Figures


References
-
- Young SB, Rose PG, Reuter KL. Vaginal fibromyomata: Two cases with preoperative assessment, resection and reconstruction. Obstet Gynecol. 1991; 78:972-974. - PubMed
-
- Cobanoglu O, Gürkan Zorlu C, Ergun Y, Kutluay L. Leiomyosarcoma of the vagina. Eur J Obstet Gynecol Reprod Biol. 1996; 70:205-207. - PubMed
-
- Theodoridis TD, Zepiridis L, Chatzigeorgiou KN, Papanicolaou A, Bontis JN. Vaginal wall fibroid. Arch Gynecol Obstet. 2008; 278:281-282. - PubMed
-
- Elsayes KM, Narra VR, Dillman JR, Velcheti V, Hameed O, Tongdee R, Menias CO. Vaginal masses: Magnetic resonance imaging features with pathologic correlation. Acta Radiol. 2007; 48:921-933. - PubMed
-
- Yogesh K, Amita M, Rajendra K, Raju A, Rekha W, Hemant T. Vaginal leiomyoma developing after hysterectomy - case report and literature review. Aust N Z J Obstet Gynaecol. 2005; 45:96-97. - PubMed
Publication types
LinkOut - more resources
Full Text Sources
Other Literature Sources