Failure of endodontic treatment: The usual suspects
- PMID: 27011754
- PMCID: PMC4784145
- DOI: 10.4103/1305-7456.175682
Failure of endodontic treatment: The usual suspects
Abstract
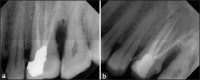
Inappropriate mechanical debridement, persistence of bacteria in the canals and apex, poor obturation quality, over and under extension of the root canal filling, and coronal leakage are some of the commonly attributable causes of failure. Despite the high success rate of endodontic treatment, failures do occur in a large number of cases and most of the times can be attributed to the already stated causes. With an ever increasing number of endodontic treatments being done each day, it has become imperative to avoid or minimize the most fundamental of reasons leading to endodontic failure. This paper reviews the most common causes of endodontic failure along with radiographic examples.
Keywords: Endodontics; periapical periodontitis; root canal therapy.
Figures





References
-
- Song M, Kim HC, Lee W, Kim E. Analysis of the cause of failure in nonsurgical endodontic treatment by microscopic inspection during endodontic microsurgery. J Endod. 2011;37:1516–9. - PubMed
-
- Ashley M, Harris I. The assessment of the endodontically treated tooth. Dent Update. 2001;28:247–52. - PubMed
-
- Siqueira JF., Jr Aetiology of root canal treatment failure: Why well-treated teeth can fail. Int Endod J. 2001;34:1–10. - PubMed
-
- Sjögren U, Figdor D, Persson S, Sundqvist G. Influence of infection at the time of root filling on the outcome of endodontic treatment of teeth with apical periodontitis. Int Endod J. 1997;30:297–306. - PubMed
Publication types
LinkOut - more resources
Full Text Sources
Other Literature Sources
Miscellaneous