Hamstring injuries
- PMID: 27011828
- PMCID: PMC4718494
- DOI: 10.1093/jhps/hnv026
Hamstring injuries
Abstract
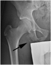
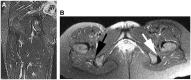
There is a continuum of hamstring injuries that can range from musculotendinous strains to avulsion injuries. Although the proximal hamstring complex has a strong bony attachment on the ischial tuberosity, hamstring injuries are common in athletic population and can affect all levels of athletes. Nonoperative treatment is mostly recommended in the setting of low-grade partial tears and insertional tendinosis. However, failure of nonoperative treatment of partial tears may benefit from surgical debridement and repair. The technique presented on this article allows for the endoscopic management of proximal hamstring tears and chronic ischial bursitis, which until now has been managed exclusively with much larger open approaches. The procedure allows for complete exposure of the posterior aspect of the hip in a safe, minimally invasive fashion.
Figures










References
-
- Martin HD, Shears SA, Johnson JC, et al. The endoscopic treatment of sciatic nerve entrapment/deep gluteal syndrome. Arthroscopy 2011; 27: 172–81. - PubMed
-
- Byrd JWT, Polkowski G, Jones KS. Endoscopic management of the snapping iliopsoas tendon. Arthroscopy 2009; 25: e18.
-
- Brown T. Thigh. Orthopaedic spors medicine. In: Drez DD, DeLee JC, Miller MD. (eds.) Principles and Practice. Vol. 2, Philadelphia: Saunders; pp. 1481–1523, 2003.
-
- Clanton TO, Coupe KJ. Hamstring strains in athletes: diagnosis and treatment. J Am Acad Orthop Surg 1998; 6: 237–48. - PubMed
-
- Garrett WE., Jr Muscle strain injuries. Am J Sports Med 1996, 24: S2–8. - PubMed
Publication types
LinkOut - more resources
Full Text Sources
Other Literature Sources