New Nodule-Newer Etiology
- PMID: 27011920
- PMCID: PMC4801798
- DOI: 10.5500/wjt.v6.i1.215
New Nodule-Newer Etiology
Abstract
Aim: To evaluate frequency and temporal relationship between pulmonary nodules (PNs) and transbronchial biopsy (TBBx) among lung transplant recipients (LTR).
Methods: We retrospectively reviewed 100 records of LTR who underwent flexible bronchoscopy (FB) with TBBx, looking for the appearance of peripheral pulmonary nodule (PPN). If these patients had chest radiographs within 50 d of FB, they were included in the study. Data was compared with 30 procedures performed among non-transplant patients. Information on patient's demographics, antirejection medications, anticoagulation, indication and type of lung transplantation, timing of the FB and the appearance and disappearance of the nodules and its characteristics were gathered.
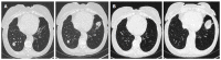
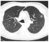
Results: Nineteen new PN were found in 13 procedures performed on LTR and none among non-transplant patients. Nodules were detected between 4-47 d from the procedure and disappeared within 84 d after appearance without intervention.
Conclusion: FB in LTR is associated with development of new, transient PPN at the site of TBBx in 13% of procedures. We hypothesize that these nodules are related to local hematoma and impaired lymphatic drainage. Close observation is a reasonable management approach.
Keywords: Flexible bronchoscopy; Lung transplant; Peripheral pulmonary nodule; Transbronchial biopsy.
Figures



References
-
- Lee P, Minai OA, Mehta AC, DeCamp MM, Murthy S. Pulmonary nodules in lung transplant recipients: etiology and outcome. Chest. 2004;125:165–172. - PubMed
-
- Trulock EP, Ettinger NA, Brunt EM, Pasque MK, Kaiser LR, Cooper JD. The role of transbronchial lung biopsy in the treatment of lung transplant recipients. An analysis of 200 consecutive procedures. Chest. 1992;102:1049–1054. - PubMed
-
- Glanville AR. The role of bronchoscopic surveillance monitoring in the care of lung transplant recipients. Semin Respir Crit Care Med. 2006;27:480–491. - PubMed
-
- McWilliams TJ, Williams TJ, Whitford HM, Snell GI. Surveillance bronchoscopy in lung transplant recipients: risk versus benefit. J Heart Lung Transplant. 2008;27:1203–1209. - PubMed
-
- Stoller JK, Ahmad M, Rice TW. Solitary pulmonary nodule. Cleve Clin J Med. 1988;55:68–74. - PubMed
LinkOut - more resources
Full Text Sources
Other Literature Sources