Gallbladder Carcinoma, the Difficulty of Early Detection: A Case Report
- PMID: 27014527
- PMCID: PMC4792642
- DOI: 10.7759/cureus.493
Gallbladder Carcinoma, the Difficulty of Early Detection: A Case Report
Abstract
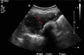
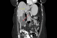
Gallbladder carcinoma (GBC) is an uncommon malignancy with a high mortality rate. Detecting gallbladder carcinoma in its early stages can be difficult, despite improvements in ultrasound and computed tomography (CT) imaging. Most diagnoses of GBC are made at advanced stages, with the majority being found incidentally during surgery for cholelithiasis. The presented case demonstrates the difficulty of diagnosing GBC preoperatively in its early stages.
Keywords: cancer; carcinoma; cholecystectomy; gallbladder; gallbladder cancer; gallbladder carcinoma.
Conflict of interest statement
The authors have declared that no competing interests exist.
Figures







References
-
- Liver, gallbladder, extrahepatic bile ducts, and pancreas. Carriaga MT, Henson DE. Cancer. 1995;75:171–190. - PubMed
-
- Gallbladder cancer (GBC): 10-year experience at Memorial Sloan-Kettering Cancer Centre (MSKCC) Duffy A, Capanu M, Abou-Alfa GK, et al. J Surg Oncol. 2008;98:485–489. - PubMed
-
- Zatonski WA, Lowenfels AB, Boyle P, et al. J Natl Cancer Inst. Vol. 89. International; 1997. Epidemiologic aspects of gallbladder cancer: a case-control study of the SEARCH Program of the International Agency for Research on Cancer; pp. 1132–1138. - PubMed
-
- Risk factors for gallbladder cancer and cholangiocarcinoma: similarities, differences and updates. Rustagi T, Dasanu CA. J Gastrointest Cancer. 2012;43:137–147. - PubMed
Publication types
LinkOut - more resources
Full Text Sources
Other Literature Sources