Diagnosis and Treatment of Idiopathic Normal Pressure Hydrocephalus
- PMID: 27042909
- PMCID: PMC5390935
- DOI: 10.1212/CON.0000000000000305
Diagnosis and Treatment of Idiopathic Normal Pressure Hydrocephalus
Abstract
Purpose of review: This article provides neurologists with a pragmatic approach to the diagnosis and treatment of idiopathic normal pressure hydrocephalus (iNPH), including an overview of: (1) key symptoms and examination and radiologic findings; (2) use of appropriate tests to determine the patient's likelihood of shunt responsiveness; (3) appropriate referral to tertiary centers with expertise in complex iNPH; and (4) the contribution of neurologists to the care of patients with iNPH following shunt surgery.
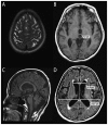
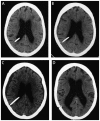
Recent findings: The prevalence of iNPH is higher than previously estimated; however, only a fraction of persons with the disorder receive shunt surgery. iNPH should be considered as a diagnosis for patients with unexplained symmetric gait disturbance, a frontal-subcortical pattern of cognitive impairment, and urinary urge incontinence, whose MRI scans show enlarged ventricles and whose comorbidities are not sufficient to explain their symptoms. Physiologically based tests, such as the tap test (large-volume lumbar puncture) or temporary spinal catheter insertion for external lumbar drainage with gait testing before and after CSF removal, or CSF infusion testing for measurement of CSF outflow resistance, can reliably identify patients who are likely to respond to shunt surgery. Properly selected patients have an 80% to 90% chance of responding to shunt surgery, and all symptoms can improve following shunt surgery. Longitudinal care involves investigating the differential diagnosis of any symptoms that either fail to respond to shunt surgery or that worsen after initial improvement from shunt surgery.
Summary: Neurologists play an important role in the identification of patients who should be evaluated for possible iNPH. With contemporary diagnostic tests and treatment with programmable shunts, the benefit-to-risk ratio of shunt surgery is highly favorable. For more complex patients, tertiary centers with expertise in complex iNPH are available throughout the world.
Figures







References
-
- Toma AK, Papadopoulos MC, Stapleton S, et al. Systematic review of the outcome of shunt surgery in idiopathic normal-pressure hydrocephalus. Acta Neurochir (Wien) 2013; 155(10): 1977– 1980. doi:10.1007/s00701-013-1835-5. - PubMed
-
- Tisell M, Höglund M, Wikkelsø C. National and regional incidence of surgery for adult hydrocephalus in Sweden. Acta Neurol Scand 2005; 112(2): 72– 75. doi:10.1111/j.1600-0404.2005.00451.x. - PubMed
-
- Census Reporter. censusreporter.org/profiles/01000US-united-states/. Accessed February 5, 2016.
-
- National Multiple Sclerosis Society. www.nationalmssociety.org/About-the-Society/MS-Prevalence. Accessed February 5, 2016.
Publication types
MeSH terms
Grants and funding
LinkOut - more resources
Full Text Sources
Other Literature Sources
Medical
Research Materials
Miscellaneous