Early Conventional MRI for Prediction of Neurodevelopmental Impairment in Extremely-Low-Birth-Weight Infants
- PMID: 27050735
- PMCID: PMC5768198
- DOI: 10.1159/000444179
Early Conventional MRI for Prediction of Neurodevelopmental Impairment in Extremely-Low-Birth-Weight Infants
Abstract
Background: Extremely-low-birth-weight (ELBW; ≤1,000 g) infants are at high risk for neurodevelopmental impairments. Conventional brain MRI at term-equivalent age is increasingly used for prediction of outcomes. However, optimal prediction models remain to be determined, especially for cognitive outcomes.
Objective: The aim was to evaluate the accuracy of a data-driven MRI scoring system to predict neurodevelopmental impairments.
Methods: 122 ELBW infants had a brain MRI performed at term-equivalent age. Conventional MRI findings were scored with a standardized algorithm and tested using a multivariable regression model to predict neurodevelopmental impairment, defined as one or more of the following at 18-24 months' corrected age: cerebral palsy, bilateral blindness, bilateral deafness requiring amplification, and/or cognitive/language delay. Results were compared with a commonly cited scoring system.
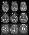
Results: In multivariable analyses, only moderate-to-severe gyral maturational delay was a significant predictor of overall neurodevelopmental impairment (OR: 12.6, 95% CI: 2.6, 62.0; p < 0.001). Moderate-to-severe gyral maturational delay also predicted cognitive delay, cognitive delay/death, and neurodevelopmental impairment/death. Diffuse cystic abnormality was a significant predictor of cerebral palsy (OR: 33.6, 95% CI: 4.9, 229.7; p < 0.001). These predictors exhibited high specificity (range: 94-99%) but low sensitivity (30-67%) for the above outcomes. White or gray matter scores, determined using a commonly cited scoring system, did not show significant association with neurodevelopmental impairment.
Conclusions: In our cohort, conventional MRI at term-equivalent age exhibited high specificity in predicting neurodevelopmental outcomes. However, sensitivity was suboptimal, suggesting additional clinical factors and biomarkers are needed to enable accurate prognostication.
© 2016 S. Karger AG, Basel.
Conflict of interest statement
The authors have no conflicts of interest to declare.
Figures


References
-
- Wilson-Costello D, Friedman H, Minich N, Siner B, Taylor G, Schluchter M, Hack M. Improved neurodevelopmental outcomes for extremely low birth weight infants in 2000–2002. Pediatrics. 2007;119:37–45. - PubMed
-
- Mirmiran M, Barnes PD, Keller K, Constantinou JC, Fleisher BE, Hintz SR, Ariagno RL. Neonatal brain magnetic resonance imaging before discharge is better than serial cranial ultrasound in predicting cerebral palsy in very low birth weight preterm infants. Pediatrics. 2004;114:992–998. - PubMed
-
- Whitaker AH, Feldman JF, Van Rossem R, Schonfeld IS, Pinto-Martin JA, Torre C, Blumenthal SR, Paneth NS. Neonatal cranial ultrasound abnormalities in low birth weight infants: relation to cognitive outcomes at six years of age. Pediatrics. 1996;98:719–729. - PubMed
Publication types
MeSH terms
Grants and funding
LinkOut - more resources
Full Text Sources
Other Literature Sources
Medical