Successful treatment of periprosthetic joint infection caused by Granulicatella para-adiacens with prosthesis retention: a case report
- PMID: 27067804
- PMCID: PMC4828776
- DOI: 10.1186/s12891-016-1008-9
Successful treatment of periprosthetic joint infection caused by Granulicatella para-adiacens with prosthesis retention: a case report
Abstract
Background: Granulicatella and Abiotrophia spp. are difficult to detect due to their complex nutritional requirements. Infections with these organisms are associated with high treatment failure rates. We report the first implant-associated infection caused by Granulicatella para-adiacens, which was cured with anti-microbial treatment consisting of anti-biofilm-active rifampin and debridement, exchange of mobile parts and retention of the prosthesis.
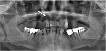
Case presentation: Patient with a history of left hip arthroplasty presented with acute onset of fever, pain and limited range of motion of the left hip. Arthrocentesis of the affected joint yielded purulent fluid and exchange of mobile parts of the prosthesis, but retention of fixed components was performed. Granulicatella para-adiacens grew from preoperative and intraoperative cultures, including sonication fluid of the removed implant. The transesophageal echocardiography showed a vegetation on the mitral valve; the orthopantogram demonstrated a periapical dental abscess. The patient was treated with intravenous penicillin G and gentamicin for 4 weeks, followed by levofloxacin and rifampin for additional 2 months. At discharge and at follow-up 1, 2 and 5 years later, the patient was noted to have a functional, pain-free, and radiologically stable hip prosthesis and the serum C-reactive protein was normal.
Conclusions: Although considered a difficult-to-treat organism, we report a successful treatment of the Granulicatella hip prosthesis infection with prosthesis retention and a prolonged antibiofilm therapy including rifampin. The periapical dental abscess is considered the primary focus of hematogenously infected hip prosthesis, underlining the importance treatment of periodontitis prior to arthroplasty and of proper oral hygiene for prevention of hematogenous infection after arthroplasty.
Keywords: Endocarditis; Granulicatella; Nutritionally variant streptococci; Prosthesis retention; Prosthetic joint infection; Rifampin.
Figures



References
Publication types
MeSH terms
Substances
LinkOut - more resources
Full Text Sources
Other Literature Sources
Medical
Research Materials
Miscellaneous