Polymer-induced central nervous system complications following vascular procedures: spectrum of iatrogenic injuries and review of outcomes
- PMID: 27072640
- PMCID: PMC4920140
- DOI: 10.1016/j.humpath.2016.01.018
Polymer-induced central nervous system complications following vascular procedures: spectrum of iatrogenic injuries and review of outcomes
Abstract
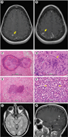
Polymer substances are commonly applied as surface coatings on endovascular catheters and vascular devices. Adverse effects related to their use have been reported, although the overall clinical significance and appropriate methods of detection of these complications have been unclear. In this analysis, we systematically reviewed clinical and diagnostic features in 32 patients (age, 36-87years; mean, 59years) in whom intracranial polymer reactions were documented following vascular interventions. Associated neuroradiologic and neuropathologic findings were variable and included cerebral vasculitis or vasculopathy (63%), abscess or granuloma formation (38%), ischemic infarcts (28%), parenchymal hematomas (28%), white matter change (25%), and/or chemical meningitis (22%). Location(s) of polymer reactions varied and included sites adjacent to and/or downstream from instrument insertion or implantation. Presenting clinical signs included focal neurologic deficits (41%), headache (22%), constitutional symptoms (19%), meningitis (16%), seizure and/or involuntary movements (9%), coma (6%), and syncope (3%). Adverse outcomes included stroke (31%), death (28%), delayed communicating hydrocephalus (9%), steroid dependency (9%), steroid complications (6%), and cerebral volume loss (3%). In some cases, these complications necessitated increased cost and length of medical care. In this review, we highlight the diverse features of polymer-induced reactions involving the central nervous system and summarize distinct diagnostic patterns that may enable earlier premortem detection of these lesions in the postprocedural clinical setting. Further work in this area is necessary to identify additional etiologic, preventative and therapeutic strategies. These data have potentially broad implications pertaining to the safety, efficacy, standards of use, storage, manufacturing, and regulation of new and emerging vascular devices and polymer nanotechnologies.
Keywords: Embolism; Endovascular procedure; HPE; Hydrophilic polymer; Iatrogenic complication; Inflammation; Vascular device.
Copyright © 2016 Elsevier Inc. All rights reserved.
Figures
References
-
- Mann T, Cubeddu G, Bowen J, et al. Stenting in acute coronary syndromes: a comparison of radial versus femoral access sites. J Am Coll Cardiol. 1998;32:572–576. - PubMed
-
- Murayama Y, Tateshima S, Gonzalez NR, et al. Matrix and bioabsorbable polymeric coils accelerate healing of intracranial aneurysms: long-term experimental study. Stroke. 2003;34:2031–2037. - PubMed
-
- Gaba RC, Ansari SA, Roy SS, et al. Embolization of intracranial aneurysms with hydrogel-coated coils versus inert platinum coils: effects on packing density, coil length and quantity, procedure performance, cost, length of hospital stay and durability of therapy. Stroke. 2006;37:1443–1450. - PubMed
-
- Mehta RI, Mehta RI, Mukherjee A, Castellani RJ. Hydrophilic polymer embolism and associated vasculopathy of the brain (abstract) J Neuropathol Exp Neurol. 2013;73:576.
Publication types
MeSH terms
Substances
Grants and funding
LinkOut - more resources
Full Text Sources
Other Literature Sources
