Skip to main page content
U.S. flag

An official website of the United States government

Dot gov

The .gov means it’s official.
Federal government websites often end in .gov or .mil. Before sharing sensitive information, make sure you’re on a federal government site.

Https

The site is secure.
The https:// ensures that you are connecting to the official website and that any information you provide is encrypted and transmitted securely.

Access keys NCBI Homepage MyNCBI Homepage Main Content Main Navigation
. 2016 Mar;8(3):586-93.
doi: 10.21037/jtd.2016.01.58.

Non-intubated combined with video-assisted thoracoscopic in carinal reconstruction

Affiliations

Non-intubated combined with video-assisted thoracoscopic in carinal reconstruction

Guilin Peng et al. J Thorac Dis. 2016 Mar.

Erratum in

Abstract

Carinal reconstruction is a difficult technique combined with video-assisted thoracoscopic surgery (VATS). It has a high requirement on the operator's skills in operating thoracoscope and meanwhile requires the close cooperation from anesthesiologists. Tracheal intubation and ventilator-assisted ventilation are key steps to ensure the success of surgery. However, tracheal intubation itself may influence the exposure of surgical field and increase the difficulty of anastomosis. In close cooperation of anesthesiologists, we did not perform tracheal intubation; rather, we carried out non-intubated complete VATS carinal reconstruction in a patient with adenoid cystic carcinoma (ACC) of the lower trachea. The awake complete VATS carinal reconstruction was successfully performed. The anastomosis lasted about 36 hours, and the whole surgical procedure lasted 230 min. The intraoperative blood loss was about 80 mL. The patient recovered well 100 min after surgery. A semi-solid diet began 6 hours following the surgery. This non-intubated anesthesia method makes the surgery easier, especially during the anastomosis of stumps. It is feasible and safe to apply this anesthesia technique in carinal reconstruction.

Keywords: Tracheal mass; awake; carinal reconstruction; video-assisted thoracoscopic surgery (VATS).

PubMed Disclaimer

Conflict of interest statement

Conflicts of Interest: The authors have no conflicts of interest to declare.

Figures

Figure 1
Figure 1
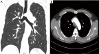
Chest computed tomography (CT) showed a nodule measuring about 1.7 cm × 1.4 cm located at the lower trachea, 1 cm away from the carina.
Figure 2
Figure 2
Pore sites 1–3: [1] observation port: in the 6th intercostal space at anterior axillary line, about 12 mm in length; [2] auxiliary operation port: at posterior line, 10 mm in length; [3] main operation port: in the 4th intercostal space between anterior axillary line and mid-axillary line, about 4 cm in length.
Figure 3
Figure 3
Nerve block. (A) Intercostal nerve block; (B) vagus nerve block.
Figure 4
Figure 4
Handling of the azygos vein using vascular cutter/stapler.
Figure 5
Figure 5
Dissociate the structure near the tumor. (A,B) Dissociate the thoracic trachea, carina, and left and right main bronchi; (C) suspend the proximal end of thoracic trachea; (D) lift the thoracic trachea using retraction cord.
Figure 6
Figure 6
Snip the end of trachea. (A) The distal end is 1 cm away from the mass; (B) transect and suspend the right main bronchus; (C) suspend the left main bronchus; (D) transect the left main bronchus.
Figure 7
Figure 7
Transection at the site 1 cm away from the upper edge of the tumor.
Figure 8
Figure 8
The tracheal and bronchial stump before anastomosis.
Figure 9
Figure 9
Continuous anastomosis of the lower trachea and left main bronchus using 2–0 Prolene sutures.
Figure 10
Figure 10
The orifice with the diameter about 1.2 cm was remained for the right main bronchus.
Figure 11
Figure 11
Continuous anastomosis of the orifice and the right main bronchus using 2–0 Prolene sutures. A to C for the posterior wall and D to F for the anterior wall.
Figure 12
Figure 12
Tie the stitches after continuous suture and a double check by the bronchoscope.
Figure 13
Figure 13
The air leak can be founk in the anastomotic leak testing.
Figure 14
Figure 14
The computed tomography (CT) reconstructed image of the trachea and the main bronchus on the 12th day postoperative.
Figure 15
Figure 15
Non-intubated combined with video-assisted thoracoscopic in carinal reconstruction (1). Available online: http://www.asvide.com/articles/911

Comment in

References

    1. Peng G, Cui F, He J, et al. Non-intubated combined with video-assisted thoracoscopic in carinal reconstruction. Asvide 2016;3:156. Available online: http://www.asvide.com/articles/911 - PMC - PubMed
    1. Mathey J, Binet JP, Galey JJ, et al. Tracheal and tracheobronchial resections; technique and results in 20 cases. J Thorac Cardiovasc Surg 1966;51:1-13. - PubMed
    1. Xu X, Chen H, Yin W, et al. Thoracoscopic half carina resection and bronchial sleeve resection for central lung cancer. Surg Innov 2014;21:481-6. 10.1177/1553350613509728 - DOI - PubMed
    1. Blasberg JD, Wright CD. Surgical considerations in tracheal and carinal resection. Semin Cardiothorac Vasc Anesth 2012;16:190-5. 10.1177/1089253212450342 - DOI - PubMed
    1. Liu J, Cui F, Li S, et al. Nonintubated video-assisted thoracoscopic surgery under epidural anesthesia compared with conventional anesthetic option: a randomized control study. Surg Innov 2015;22:123-30. 10.1177/1553350614531662 - DOI - PubMed

LinkOut - more resources