Resection of a large ectopic parathyroid adenoma: A case report
- PMID: 27078868
- PMCID: PMC4855415
- DOI: 10.1016/j.ijscr.2016.04.007
Resection of a large ectopic parathyroid adenoma: A case report
Abstract
Introduction: Parathyroid adenomas are the most common cause of primary hyperparathyroidism. However, cases of parathyroid adenomas greater than 4cm with osteitis fibrosa cystica are extremely rare. Herein, we report a case of resection of a large ectopic mediastinal parathyroid adenoma.
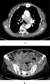
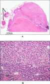
Case presentations: A 46-year-old female with chief complaints of bone pain and gait disturbance was referred to our hospital. Physical examination revealed many mobile teeth in her oral cavity, distortion of the vertebral body, and bowlegs. Laboratory tests showed hypercalcemia, hypophosphatemia, and elevated serum levels of intact parathyroid hormone. Chest CT revealed a 42-mm well-defined, enhancing mass in front of the left-sided tracheal bifurcation. Her findings were diagnosed as primary hyperparathyroidism due to an ectopic mediastinal parathyroid tumor. We performed a median sternotomy and resected the tumor. The tumor was a solid, yellowish-brown mass measuring 42×42 mm. Pathologically, the tumor consisted mainly of chief cells with some oxyphil cells; there were no necrotic areas or nuclear atypia, and few mitotic figures. We diagnosed the tumor as an ectopic mediastinal parathyroid adenoma. Eight months after the resection, her serum calcium, phosphorus, and intact PTH levels were normal.
Discussion and conclusions: Parathyroid adenomas and parathyroid carcinomas have disparate natural histories, but they can be difficult to differentiate on the basis of preoperative clinical characteristics. We believe that long-term follow-up of these cases is required because there have been few reports on the postoperative natural history of large parathyroid adenomas.
Keywords: Ectopic parathyroid tumor; Hyperparathyroidism; Osteitis fibrosa cystica; Parathyroid adenoma.
Copyright © 2016 The Authors. Published by Elsevier Ltd.. All rights reserved.
Figures




References
-
- Schantz Z., Castleman B. Parathyroid carcinoma: a study of 70 cases. Cancer. 1973;31(3):600–605. - PubMed
-
- Albright F., Reifenstein E.C., Jr. Baltimore; William and Wilkins: 1948. The Parathyroid Glands and Metabolic Bone Disease.
-
- Masatsugu T., Yamashita H., Murakami T., Watanabe S., Uchino S., Yamashita H. Primary hyperparathyroidism caused by ectopic parathyroid tumor. J. Jpn. Surg. Assoc. 2002;63(10):2353–2357. (abstract in English)
-
- Roy P., Christopher R.M. Incidence and location of ectopic abnormal parathyroid glands. Am. J. Surg. 2006;191(3):418–423. - PubMed
-
- Fortson J.K., Patel V.G., Henderson V.J. Parathyroid cysts: a case report and review of the literature. Laryngoscope. 2001;111(10):1726–1728. - PubMed
LinkOut - more resources
Full Text Sources
Other Literature Sources