Lung disease associated with filamin A gene mutation: a case report
- PMID: 27091362
- PMCID: PMC4836084
- DOI: 10.1186/s13256-016-0871-1
Lung disease associated with filamin A gene mutation: a case report
Abstract
Background: Mutations in the gene encoding filamin A (FLNA) lead to diseases with high phenotypic diversity including periventricular nodular heterotopia, skeletal dysplasia, otopalatodigital spectrum disorders, cardiovascular abnormalities, and coagulopathy. FLNA mutations were recently found to be associated with lung disease. In this study, we report a novel FLNA gene associated with significant lung disease and unique angiogenesis.
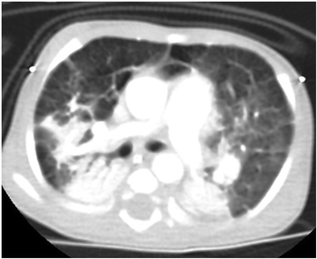
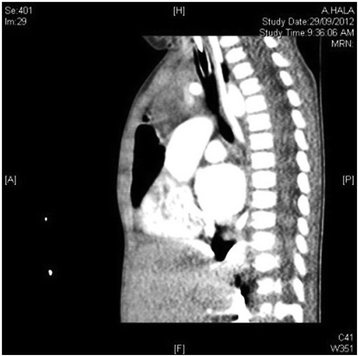
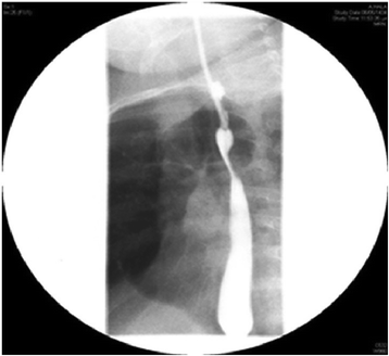
Case presentation: Here, we describe a 1-year-old Saudi female child with respiratory distress at birth. The child then had recurrent lower respiratory tract infections, bilateral lung emphysema with basal atelectasis, bronchospasm, pulmonary artery hypertension, and oxygen and mechanical ventilation dependency. Molecular testing showed a new pathogenic variant of one copy of c.3153dupC in exon 21 in the FLNA gene.
Conclusions: Our data support previous reports in the literature that associate FLNA gene mutation and lung disease.
Keywords: Angiogenesis; FLNA; Lung disease; Pediatrics.
Figures






References
Publication types
MeSH terms
Substances
LinkOut - more resources
Full Text Sources
Other Literature Sources
Medical
Molecular Biology Databases
Miscellaneous