Unusual Spread of Renal Cell Carcinoma to the Clivus with Cranial Nerve Deficit
- PMID: 27110412
- PMCID: PMC4811068
- DOI: 10.1155/2016/9184501
Unusual Spread of Renal Cell Carcinoma to the Clivus with Cranial Nerve Deficit
Abstract
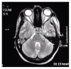
Renal cell carcinoma (RCC) has unusual presentation affecting elderly males with a smoking history. The incidence of RCC varies while the incidence of spread of RCC to the clivus is rare. The typicality of RCC presentation includes hematuria, flank pain, and a palpable flank mass; however, RCC can also present with clival metastasis. The unique path of the abducens nerve in the clivus makes it susceptible to damage in metastasis. We report a case of a 54-year-old African American female that was evaluated for back pain, weakness, numbness, and tingling of bilateral lower extremities and subsequently disconjugate gaze and diplopia. Brain MRI confirmed metastasis to the clivus. She was started on radiotherapy and was planned for chemotherapy and transfer to a nursing home. When a patient presents with sudden unusual cranial nerve pathology, the possibility of metastatic RCC should be sought.
Figures
References
-
- Patel A. A., Kuperan A. B., Liu J. K., Patel C. R., Sharer L. R., Eloy J. A. Renal cell carcinoma with metastasis to the clivus. Presented at the Triological Society Posters, Combined Section Meeting; January 2013; Scottsdale, Ariz, USA.
-
- Fumino M., Matsuura H., Hayashi N., Arima K., Yanagawa M., Kawamura J. A case of renal cell carcinoma with metastasis in clivus presenting as diplopia. Hinyokika Kiyo. 1998;44(5):319–321. - PubMed
LinkOut - more resources
Full Text Sources
Other Literature Sources
