Paintball-related traumatic liver injury
- PMID: 27122206
- PMCID: PMC4854160
- DOI: 10.1136/bcr-2015-213780
Paintball-related traumatic liver injury
Abstract
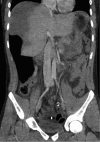
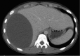
Paintball is a popular recreational sport played at both amateur and professional level. Ocular injuries are well recognised, although there is a growing body of literature documenting superficial vascular as well as deep solid organ injuries. An 18-year-old man presented with signs and symptoms consistent with acute appendicitis. Intraoperatively, a grade III liver injury was identified and packed before a relook at 48 h. No further active bleeding was identified; however, follow-up ultrasound at 3 weeks demonstrated non-resolution of a large subcapsular haematoma. The patient was readmitted for a short period of observation and discharged with repeat ultrasound scheduled for 3 months. This represents the first report of paintball-related blunt traumatic injury to the liver. Solid organ injuries of this nature have only been reported three times previously-all in the urological setting. This case also highlights issues surrounding the use of routine follow-up imaging in blunt liver trauma and provides a concise discussion of the relevant literature.
2016 BMJ Publishing Group Ltd.
Figures



References
-
- Ambay AR, Stratman EJ. Paintball: dermatologic injuries. Cutis 2007;80:49–50. - PubMed
Publication types
MeSH terms
LinkOut - more resources
Full Text Sources
Other Literature Sources