Bacterial Endocarditis Caused by Lactobacillus acidophilus Leading to Rupture of Sinus of Valsalva Aneurysm
- PMID: 27127435
- PMCID: PMC4845580
- DOI: 10.14503/THIJ-15-5121
Bacterial Endocarditis Caused by Lactobacillus acidophilus Leading to Rupture of Sinus of Valsalva Aneurysm
Abstract
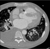
Lactobacillus acidophilus rarely causes bacterial endocarditis, because it usually resides in the mucosa of the vagina, gastrointestinal tract, and oropharynx. Moreover, sinus of Valsalva aneurysms are rare cardiac anomalies, either acquired or congenital. We present the case of a middle-aged man whose bacterial endocarditis, caused by Lactobacillus acidophilus, led to an aneurysmal rupture of the sinus of Valsalva into the right ventricular outflow tract. The patient underwent successful surgical repair, despite numerous complications and sequelae.
Keywords: Antibacterial agents/therapeutic use; Lactobacillus endocarditis; aortic aneurysm; aortic valve; endocarditis, bacterial; gram-positive bacterial infections; intracardiac shunts; male; middle aged; sinus of Valsalva/surgery.
Figures


References
-
- Ze-Ze L, Tenreiro R, Duarte A, Salgado MJ, Melo-Cristino J, Lito L et al. Case of aortic endocarditis caused by Lactobacillus casei. J Med Microbiol. 2004;53(Pt 5):451–3. - PubMed
-
- Salvana EMT, Frank M. Lactobacillus endocarditis: case report and review of cases reported since 1992. J Infection. 2006;53(1):e5–e10. Available from: http://www.journalofinfection.com/article/S0163-4453%2805%2900303-8/abst.... - PubMed
-
- Fradiani PA, Petrucca A, Ascenzioni F, Di Nucci G, Teggi A, Bilancini S, Cipriani P. Endocarditis caused by Lactobacillus jensenii in an immunocompetent patient. J Med Microbiol. 2010;59(Pt 5):607–9. - PubMed
-
- See JRH, Czachor JS, Brown GR. Lactobacillus endocarditis: case report and literature review. Infect Dis Clin Prac. 2006;14(3):134–6.
-
- Goldberg N, Krasnow N. Sinus of Valsalva aneurysms. Clin Cardiol. 1990;13(12):831–6. - PubMed
Publication types
MeSH terms
LinkOut - more resources
Full Text Sources
Other Literature Sources