Non-traumatic myositis ossificans circumscripta at elbow joint in a 9-year old child
- PMID: 27140223
- PMCID: PMC4897847
- DOI: 10.1016/j.cjtee.2016.01.009
Non-traumatic myositis ossificans circumscripta at elbow joint in a 9-year old child
Abstract
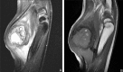
Myositis ossificans circumscripta (MOC) is a kind of self-localized, benign and tumor-like lesions often seen in adults, with approximately 75% of cases caused by trauma. We reported a case of non-traumatic MOC occurred at the elbow joint in a 9-year old child and it has been excised by surgery. After 18 months follow-up, a favorable outcome has been achieved with the Broberg-Morrey score of 100. We suggest that surgical resection should be done as soon as the diagnosis is confirmed.
Figures



References
-
- Bhatia M., Hill J., Macpherson R.I. Radiological case of the month: myositis ossificans circumscripta. Arch Pediatr Adolesc Med. 1995;149:53–54. - PubMed
-
- Say F., Coşkun S., Bülbül M. Myositis ossificans on the forearm in a 10-year-old girl. J Pediatr Orthop B. 2015;24:223–225. - PubMed
-
- Li J., Zhu L., Hu Y. Clinical analysis of 26 cases of myositis ossificans circumscripta. Chin J Traumatol. 2000;3:124–125. - PubMed
-
- Leung A.H., Rybak L.D., Rose D.J. Myositis ossificans within the intercondylar notch treated arthroscopically. Skelet Radiol. 2010;39:927–930. - PubMed
-
- Kaplan F.S. Skin and bones. Arch Dermatol. 1996;132:815–818. - PubMed