Pleural effusion: diagnosis, treatment, and management
- PMID: 27147861
- PMCID: PMC4753987
- DOI: 10.2147/OAEM.S29942
Pleural effusion: diagnosis, treatment, and management
Abstract
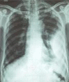
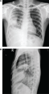
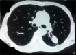
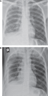
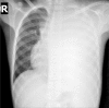
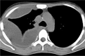
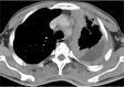
A pleural effusion is an excessive accumulation of fluid in the pleural space. It can pose a diagnostic dilemma to the treating physician because it may be related to disorders of the lung or pleura, or to a systemic disorder. Patients most commonly present with dyspnea, initially on exertion, predominantly dry cough, and pleuritic chest pain. To treat pleural effusion appropriately, it is important to determine its etiology. However, the etiology of pleural effusion remains unclear in nearly 20% of cases. Thoracocentesis should be performed for new and unexplained pleural effusions. Laboratory testing helps to distinguish pleural fluid transudate from an exudate. The diagnostic evaluation of pleural effusion includes chemical and microbiological studies, as well as cytological analysis, which can provide further information about the etiology of the disease process. Immunohistochemistry provides increased diagnostic accuracy. Transudative effusions are usually managed by treating the underlying medical disorder. However, a large, refractory pleural effusion, whether a transudate or exudate, must be drained to provide symptomatic relief. Management of exudative effusion depends on the underlying etiology of the effusion. Malignant effusions are usually drained to palliate symptoms and may require pleurodesis to prevent recurrence. Pleural biopsy is recommended for evaluation and exclusion of various etiologies, such as tuberculosis or malignant disease. Percutaneous closed pleural biopsy is easiest to perform, the least expensive, with minimal complications, and should be used routinely. Empyemas need to be treated with appropriate antibiotics and intercostal drainage. Surgery may be needed in selected cases where drainage procedure fails to produce improvement or to restore lung function and for closure of bronchopleural fistula.
Keywords: biopsy; decortication; thoracocentesis; thoracoscopy.
Figures
















References
-
- Collins TR, Sahn SA. Thoracocentesis: clinical value, complications, technical problems and patient experience. Chest. 1987;91:817–822. - PubMed
-
- Sahn SA, Heffner JE. Approach to the patient with pleurisy. In: Kelly WN, editor. Kelly’s Textbook of Internal Medicine. 2nd ed. Philadelphia: Lippincott, Williams and Wilkins; 1991.
-
- Porcel JM, Light RW. Diagnostic approach to pleural effusion in adults. Am Fam Physician. 2006;73:1211–1220. - PubMed
-
- Stelzner TJ, King TE, Antony VB, Sahn SA. Pleuropulmonary manifestations of the postcardiac injury syndrome. Chest. 1983;84:383–387. - PubMed
-
- Uong V, Nugent K, Alalawi R, Raj R. Amiodarone-induced loculated pleural effusion: case report and review of the literature. Pharmacotherapy. 2010;30:218. - PubMed
Publication types
LinkOut - more resources
Full Text Sources
Medical