Intra-Abdominal Hematoma Following Enoxaparin Injection
- PMID: 27158226
- PMCID: PMC4854215
- DOI: 10.4137/CCRep.S17881
Intra-Abdominal Hematoma Following Enoxaparin Injection
Abstract
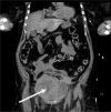
An elderly patient, who was being treated for therapeutic enoxaparin for a couple of days due to suspected deep vein thrombosis, was admitted to hospital following a collapse and severe abdominal pain. She was in hypovolemic shock and was fluid resuscitated. Ultrasound scan and computed tomography (CT) scan showed a large pelvic hematoma. Radiologists also suspected a possibility of bleeding from inferior epigastric artery following a CT angiogram. The patient was stabilized and transferred to intensive care unit (ICU) for further hemodynamic supports and close monitoring. The patient was then transferred back to the general ward when she was stable. She was managed conservatively as there were no more signs of active bleeding. Unfortunately, she died of recurrent bleeding three days after ICU discharge.
Keywords: deep vein thrombosis; enoxaparin; intra-abdominal bleeding.
Figures
References
-
- Colin T. Deep Vein Thrombosis. 2012. Patient.co.uk.
-
- NICE . Venous Thromboembolic Diseases. NICE Clinical Guideline; 2012.
-
- NHS . Enoxaparin.
-
- Ortega-Carnicer J, Ceres F. Rectus sheath haematoma with severe haemodynamic compromise after enoxaparin use for unstable angina. Elsevier. 2003;57(1):113–4. - PubMed
Publication types
LinkOut - more resources
Full Text Sources
Other Literature Sources
