Proposed Diagnostic Criteria, Classification Schema, and Review of Literature of Notochord-Derived Ecchordosis Physaliphora
- PMID: 27158576
- PMCID: PMC4854633
- DOI: 10.7759/cureus.547
Proposed Diagnostic Criteria, Classification Schema, and Review of Literature of Notochord-Derived Ecchordosis Physaliphora
Abstract
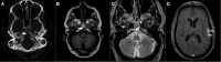
Ecchordosis physaliphora (EP) is a benign notochordal remnant derived from ectopic nests found along the craniospinal axis. It typically presents asymptomatically and is diagnosed using classic radiologic features, particularly location, T1-hypointensity, T2-hyperintensity, and lack of enhancement following gadolinium (Gd) contrast administration. Distinguishing EP from its malignant counterpart, chordoma, is of paramount importance, given the aggressive nature of the latter. Advances in imaging and immunohistochemistry have aided in diagnosis to an extent but, to our knowledge, identification of the genetic fingerprint of EP has yet to take place. Further cytological analysis of these lesions in search of a genetic link is warranted. We propose here a set of diagnostic criteria based on features consistently cited in the literature. In this literature review, 23 case reports were identified and collated into a summary of symptomatic cases of ecchordosis physaliphora. An illustrative case report of two patients was also included.
Keywords: chordoma; ecchordosis physaliphora; notochordal remnant; retroclival lesion.
Conflict of interest statement
The authors have declared that no competing interests exist.
Figures


References
-
- Endoscopic resection of a giant intradural retroclival ecchordosis physaliphora: surgical technique and literature review. Choudhri O, Feroze A, Hwang P, Vogel H, Ajlan A, Harsh G 4th. World Neurosurg. 2014;82:912–910. - PubMed
-
- Cerebrospinal fluid fistula secondary to ecchordosis physaliphora. Macdonald RL, Cusimano MD, Deck JH, Gullane PJ, Dolan EJ. Neurosurgery. 1990;26:515–519. - PubMed
-
- Ecchordosis physaliphora - a case report and a review of notochord-derived lesions. Adamek D, Malec M, Grabska N, Krygowska-Wajs A, Gałązka K. Neurol Neurochir Pol. 2011;45:169–173. - PubMed
-
- A case of ecchordosis physaliphora presenting with an intratumoral hemorrhage. Alkan O, Yildirim T, Kizilkiliç O, Tan M, Cekinmez M. http://turkishneurosurgery.org.tr/pdf/pdf_JTN_684.pdf. Turk Neurosurg. 2009;19:293–296. - PubMed
Publication types
LinkOut - more resources
Full Text Sources
Other Literature Sources