Trichoblastic carcinosarcoma: an authentic cutaneous carcinosarcoma
- PMID: 27194674
- PMCID: PMC4885345
- DOI: 10.1136/bcr-2016-214977
Trichoblastic carcinosarcoma: an authentic cutaneous carcinosarcoma
Abstract
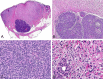
We describe a trichoblastic carcinosarcoma on the forehead of a 65-year-old man. This is the fifth case of trichoblastic carcinosarcoma in the literature and the first to be reported from the USA. It was successfully treated with direct excision. Trichoblastic carcinosarcoma should be distinguished from epidermal carcinosarcoma. We believe trichoblastic carcinosarcoma is an authentic carcinosarcoma derived from multiple progenitor cells whereas epidermal carcinosarcomas are derived from a single progenitor cell that undergoes epithelial to mesenchymal transition, and are better considered as sarcomatoid carcinomas.
2016 BMJ Publishing Group Ltd.
Figures


References
Publication types
MeSH terms
LinkOut - more resources
Full Text Sources
Other Literature Sources
Medical