Skip to main page content
U.S. flag

An official website of the United States government

Dot gov

The .gov means it’s official.
Federal government websites often end in .gov or .mil. Before sharing sensitive information, make sure you’re on a federal government site.

Https

The site is secure.
The https:// ensures that you are connecting to the official website and that any information you provide is encrypted and transmitted securely.

Access keys NCBI Homepage MyNCBI Homepage Main Content Main Navigation
. 2016 May;16(2):e246-9.
doi: 10.18295/squmj.2016.16.02.019. Epub 2016 May 15.

Aspergillus flavus-Induced Brain Abscess in an Immunocompetent Child: Case report

Affiliations

Aspergillus flavus-Induced Brain Abscess in an Immunocompetent Child: Case report

Nawal Al-Maskari et al. Sultan Qaboos Univ Med J. 2016 May.

Abstract

Intracranial aspergillosis is an extremely rare manifestation of invasive aspergillosis in immunocompetent children and is associated with high morbidity and mortality. We report a 12-year-old immunocompetent male child who was referred to the King Faisal Specialist Hospital & Research Centre, Riyadh, Saudi Arabia, in May 2010 after a sudden-onset headache and loss of consciousness. Brain imaging revealed a large right space-occupying occipital lesion and the patient underwent a craniotomy and resection. Histopathology of the lesion revealed necrotising granulomatous fungal encephalitis with many hyphae engulfed by multinucleated giant histiocytes. Two days later, a computed tomography scan showed debulking of the fungal mass and the patient was discharged on oral voriconazole. However, imaging at a six-week follow-up showed progression of the abnormality. A residual or persistent fungal brain lesion was suspected. Further neurosurgical resection of the lesion was performed and cultures showed growth of Aspergillus flavus. The patient was treated successfully with antifungal therapy over the following two years.

Keywords: Antifungal Agents; Aspergillus flavus; Brain Abscess; Case Report; Fungus Disease; Immunocompetence; Saudi Arabia.

PubMed Disclaimer

Figures

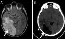
Figure 1A&B:
Figure 1A&B:
A: Magnetic resonance imaging of the brain of a 12-year-old immunocompetent child showing a large right occipital mass (arrow) with heterogeneous enhancement, perifocal oedema in the right temporal and parietal lobes and a midline shift to the left. The nasal sinuses were clear. B: Post-resection computed tomography showing debulking of the right-sided occipital fungal mass (arrow) two days later. Note the regression of the perilesional reactive changes with a persistent mild midline shift to the left and regression of the right trigone effacement.
Figure 2A&B:
Figure 2A&B:
A: Magnetic resonance imaging (MRI) of the brain of a 12-year-old immunocompetent child six weeks after an initial resection of a right occipital fungal mass showing progression of the dense solid marginal tissue abnormality (arrow) and enhancement consistent with a granulomatous tissue abnormality. B: Brain MRI one month after the second resection showing partial resolution of the solid parenchymal abnormality (arrow).

References

    1. Brouwer MC, Tunkel AR, McKhann GM, 2nd, van de Beek D. Brain abscess. N Engl J Med. 2014;371:447–56. doi: 10.1056/NEJMra1301635. - DOI - PubMed
    1. Chen S, Pu JL, Yu J, Zhang JM. Multiple Aspergillus cerebellar abscesses in a middle-aged female: Case report and literature review. Int J Med Sci. 2011;8:635–9. doi: 10.7150/ijms.8.635. - DOI - PMC - PubMed
    1. Köse S, Çavdar G, Senger SS, Akkoçlu G. Central nervous system aspergillosis in an immunocompetent patient. J Infect Dev Ctries. 2011;5:313–15. doi: 10.3855/jidc.1461. - DOI - PubMed
    1. Wannasirikul V, Chayakulkeeree M. Multiple brain abscesses caused by Aspergillus fumigatus in a patient with systemic lupus erythematous. J Infect Dis Antimicrob Agents. 2012;29:17–20.
    1. Sundaram C, Murthy JM. Intracranial Aspergillus granuloma. Patholog Res Int. 2011;2011:157320. doi: 10.4061/2011/157320. - DOI - PMC - PubMed

LinkOut - more resources