Neuroprotective effect of grape seed extract against cadmium toxicity in male albino rats
- PMID: 27271977
- PMCID: PMC5806757
- DOI: 10.1177/0394632016651447
Neuroprotective effect of grape seed extract against cadmium toxicity in male albino rats
Abstract
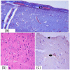
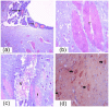
Cadmium toxicity can disturb brain chemistry leading to depression, anxiety, and weakened immunity. Cadmium disturbs the neurotransmitter dopamine, resulting in low energy, lack of motivation, and depression, which are predisposing factors for violence. The purpose of this study was to evaluate the ameliorative effect of grape seed extract (GSE) on the brain of 40 male albino rats after exposure to cadmium chloride (Cd) toxicity. The rats were separated into either the control group, the Cd group, the GSE group, or the GSE and Cd mixture (treated) group. The cerebrum showed evidence of degeneration of some nerve fibers and cells. Fibrosis, vacuolations, and congestion in the blood vessels were demonstrated. Satelletosis was located in the capsular cells. Immunohistochemical expression of Bax was strongly positive in the Cd group and decreased in the treated group. These histopathological changes were decreased in the brain tissue of the treated group, but a few blood vessels still had evidence of congestion. Cadmium administration increased the level of MDA and decreased MAO-A, acetylcholinesterase, and glutathione reductase (GR), while the treatment with GSE affected the alterations in these parameters. In addition, cadmium downregulated the mRNA expression levels of GST and GPx, while GSE treatment normalized the transcript levels. The expression of both dopamine and 5-hydroxytryptamine transporter was downregulated in the rats administered cadmium and the addition of GSE normalized the expression of these aggression associated genes.
Keywords: cadmium chloride; cerebrum; grape seed extract (GSE); protective role; violence.
© The Author(s) 2016.
Conflict of interest statement
Figures
References
-
- World Health Organization (1999) Injury: A leading cause of the global burden of disease. Document WHO/HSC/PVI/99.11. Geneva: World Health Organization.
-
- Page AL, Al-Amamy MM, Chang AC. (1986) Cadmium: Cadmium in the environment and its entry into terrestrial food chain crops. Handbook of Experimental Pharmacology 80: 33–74.
-
- Hart BA. (2000) Response of the respiratory tract to cadmium. In: Zalpus RK, Koropatnick J. (eds) Molecular Biology and Toxicology of Metals. London: Taylor and Francis, pp. 208–233.
-
- Stohs SJ, Bagchi D, Bagchi M. (1997) Toxicity of trace element in tobacco smoke. Inhalation Toxicology 9: 867–890.
-
- World Health Organization (2008) Cadmium. Guidelines for Drinking-Water Quality. Vol. 1 3rd edn. Incorporating 1st and 2nd addenda. Geneva: World Health Organization.
MeSH terms
Substances
LinkOut - more resources
Full Text Sources
Other Literature Sources
Research Materials
