The Pelvic Digit: A Rare Congenital Anomaly as a Cause of Hip Pain
- PMID: 27298880
- PMCID: PMC4722546
The Pelvic Digit: A Rare Congenital Anomaly as a Cause of Hip Pain
Abstract
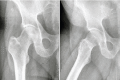
Introduction: The pelvic digit or pelvic rib is an unusual congenital anomaly with a finger or rib like bone formation in soft tissues around normal pelvic skeleton. This is a benign lesion and mostly an Incidental finding on radiographs. Most reported cases are asymptomatic and do not require intervention. We report a case of symptomatic pelvic rib that required surgical excision.
Case report: A 57-year-old man presented with a long history of pain and functional limitation in his right hip. On plain radiographs a fusiform bony structure adjacent to the acetabulum was noted. The imaging tests (MRI and CT) suggested the diagnosis of pelvic digit. We performed surgical excision of the lesion through anterior Smith-Peterson approach. The histopathology showed presence of corticomedullary structure. After surgery the patient's symptoms were relieved.
Conclusions: It is important to recognize this lesion on plain radiographs and to confirm by CT scan and make differential diagnosis. In the majority of cases the pelvic digit is asymptomatic and no treatments is needed. However in cases where symptoms can be attributed to pelvic digit an excision will relieve the pain and disability.
Keywords: Pelvic digit; bone growth and development; iliac rib; pelvic rib.
Conflict of interest statement
Conflict of Interest: Nil
Figures



References
-
- Sullivan D, Cornwell WS. Pelvic rib. Report of a case. Radiology. 1974;110(2):355–7. - PubMed
-
- Granieri GF, Bacarini L. The pelvic digit:five new examples of an unusual anomaly. Skeletal Radiol. 1996;25:723–6. - PubMed
-
- McGlone BS, Hamilton S, FitzGerald MJT. Pelvic digit:an uncommon developmental anomaly. Eur Radiol. 2000;10:89–91. - PubMed
-
- Greenspan A, Norman A. The “Pelvic Digit”, an unusual developmental anomaly. Skeletal Radiol. 1982;9:118–22. - PubMed
-
- Lohan DG, Chang PC, Motamedi K, Seeger LL. Can you point to where the abnormality is?:Pelvic digit, a case report. Eur J Radiol. 2009:e141–3. Extra 72.
Publication types
LinkOut - more resources
Full Text Sources