Primary breast lymphoma
- PMID: 27307845
- PMCID: PMC4898173
- DOI: 10.2484/rcr.v5i1.351
Primary breast lymphoma
Abstract
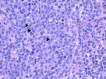
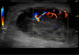
We report a case of primary breast lymphoma in a 75-year-old woman who noticed a lump in her right breast after trauma. Mammographic, ultrasonographic, and pathologic correlations are provided. The typical appearance of primary breast lymphoma on mammography is a solitary, uncalcified, circumscribed, or indistinctly marginated mass with adjacent lymphadenopathy. On ultrasound, primary breast lymphoma is usually hypoechoic with circumscribed or microlobulated margins demonstrating increased vascularity. The differential diagnosis for a mass with this appearance is discussed in detail and includes hematoma, abscess, primary breast lymphoma, invasive ductal carcinoma, phyllodes tumor, and metastatic disease.
Keywords: BI-RADS, American College of Radiology Breast Imaging Reporting and Data System; MRI, magnetic resonance imaging.
Figures
References
-
- D'Orsi C, Bassett L, Berg W. Breast Imaging Reporting and Data System: ACR BI-RADS-Mammography. 4 ed. American College of Radiology; Reston, VA: 2003.
-
- Stavros AT. Breast Ultrasound. Lippincott Williams & Wilkins; Philadelphia, PA: 2004.
Publication types
LinkOut - more resources
Full Text Sources
