A molecular biology and phase II study of imetelstat (GRN163L) in children with recurrent or refractory central nervous system malignancies: a pediatric brain tumor consortium study
- PMID: 27350411
- PMCID: PMC5288808
- DOI: 10.1007/s11060-016-2189-7
A molecular biology and phase II study of imetelstat (GRN163L) in children with recurrent or refractory central nervous system malignancies: a pediatric brain tumor consortium study
Abstract
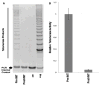
Telomerase activation is critical in many cancers including central nervous system (CNS) tumors. Imetelstat is an oligonucleotide that binds to the template region of the RNA component of telomerase, inhibiting its enzymatic activity. We conducted an investigator-sponsored molecular biology (MB) and phase II study to estimate inhibition of tumor telomerase activity and sustained responses by imetelstat in children with recurrent CNS malignancies. In the MB study, patients with recurrent medulloblastoma, high-grade glioma (HGG) or ependymoma undergoing resection received one dose of imetelstat as a 2-h intravenous infusion at 285 mg/m(2), 12-24 h before surgery. Telomerase activity was evaluated in fresh tumor from surgery. Post-surgery and in the phase II study, patients received imetelstat IV (days 1 and 8 q21-days) at 285 mg/m(2). Imetelstat pharmacokinetic and pharmacodynamic studies were performed. Of two evaluable patients on the MB trial, intratumoral telomerase activity was inhibited by 95 % compared to baseline archival tissue in one patient and was inevaluable in one patient. Forty-two patients (40 evaluable for toxicity) were enrolled: 9 medulloblastomas, 18 HGG, 4 ependymomas, 9 diffuse intrinsic pontine gliomas. Most common grade 3/4 toxicities included thrombocytopenia (32.5 %), lymphopenia (17.5 %), neutropenia (12.5 %), ALT (7.5 %) and AST (5 %) elevation. Two patients died of intratumoral hemorrhage secondary to thrombocytopenia leading to premature study closure. No objective responses were observed. Telomerase inhibition was observed in peripheral blood mononuclear cells (PBMCs) for at least 8 days. Imetelstat demonstrated intratumoral and PBMC target inhibition; the regimen proved too toxic in children with recurrent CNS tumors.
Keywords: Imetelstat; Pediatric brain tumors; Phase 2 trial; Telomerase; Telomerase inhibition.
Conflict of interest statement
None.
Figures


References
-
- Kim NW, Piatyszek MA, Prowse KR, Harley CB, West MD, Ho PL, Coviello GM, Wright WE, Weinrich SL, Shay JW. Specific association of human telomerase activity with immortal cells and cancer. Science. 1994;266(5193):2011–2015. - PubMed
-
- Barszczyk M, Buczkowicz P, Castelo-Branco P, Mack SC, Ramaswamy V, Mangerel J, Agnihotri S, Remke M, Golbourn B, Pajovic S, Elizabeth C, Yu M, Luu B, Morrison A, Adamski J, Nethery-Brokx K, Li XN, Van Meter T, Dirks PB, Rutka JT, Taylor MD, Tabori U, Hawkins C. Telomerase inhibition abolishes the tumorigenicity of pediatric ependymoma tumor-initiating cells. Acta neuropathologica. 2014;128(6):863–877. doi: 10.1007/s00401-014-1327-6. - DOI - PMC - PubMed
Publication types
MeSH terms
Substances
Grants and funding
LinkOut - more resources
Full Text Sources
Other Literature Sources
Miscellaneous