Primary intracranial lymphomas
- PMID: 27366250
- PMCID: PMC4849292
- DOI: 10.4103/1793-5482.145082
Primary intracranial lymphomas
Abstract
Background: Primary CNS lymphoma (PCNSL), a rare form of aggressive extranodal non-Hodgkin's lymphoma (NHL), has increased in incidence during the last three decades and occurs in both immune compromised and immune competent hosts. It has an overall poor prognosis.
Objective: This study attempts to further delineate the clinico-pathological, immunohistochemical and radiological profile of PCNSL at Jeddah to King Faisal Hospital and Research Center.
Methods: Computerized search through the archives of King Faisal Hospital and Research Centre between July 2000- December 2012 identified 15 patients with pathologically confirmed PCNSL. These were analyzed retrospectively. Their clinico-pathological, immunohistochemical and radiological data were analyzed.
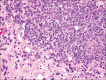
Results: Of the 15 PCNSL patients, 8 (53.3%) were females and 7 (46.6%) were males. There was female predilection especially in the age group of 40-59 years. Mean age at diagnosis for all patients was 50.4 years. There was no patient in the pediatric age group. The most common location in the brain was the frontal region in 7 patients (46.6%), 7 (46.6%) had multiple intracranial masses; all 15 (100%) were Non Hodgkin B-cell lymphomas, among which 13 (86.6%) were diffuse large B-cell lymphomas. All 15 (100%) cases showed diffuse and strong positivity for CD 45, and CD 20. Fourteen patients were immune competent while one was immune compromised.
Conclusions: PCNSL often occurs in middle-aged and aged patients. There is female predilection especially in the middle age. Frontal region is the most common location with diffuse large B-cell lymphoma being the predominant subtype.
Keywords: Central nervous system; lymphoma; primary.
Conflict of interest statement
Figures





References
-
- Kluin PM, Deckert M, Ferry JM. Primary diffuse large B-cell lymphoma of the CNS. In: Swerdlow S, Campo E, Harris NL, Jaffe ES, Pileri SA, Stein H, et al., editors. WHO Classification of Tumours of Haemopoietic and Lymphoid Tissues. Lyon: IARC; 2008. pp. 240–1.
-
- Marturano E, Ferreri AJ. Primary CNS lymphoma in immunocompetent patients. Ann Oncol. 2011;22:iv41–3.
-
- Primary brain and central nervous system tumors diagnosed in the United States in 2004-2008. CBTRUS Statistical Report Revised Version March 23, 2012. [Last visited on 2013 Oct 23]. Available from: http://www.cbtrus.org/2012-NPCR-SEER/CBTRUS_Report_2004-2008_3-23-2012.pdf .
-
- Haldorsen IS, Krossnes BK, Aarseth JH, Scheie D, Johannesen TB, Mella O, et al. Increasing incidence and continued dismal outcome of primary central nervous system lymphoma in Norway 1989-2003: Time trends in a 15-year national survey. Cancer. 2007;110:1803–14. - PubMed
LinkOut - more resources
Full Text Sources
Other Literature Sources