Emphysematous pyelonephritis: A 10-year experience with 26 cases
- PMID: 27366713
- PMCID: PMC4911836
- DOI: 10.4103/2230-8210.183475
Emphysematous pyelonephritis: A 10-year experience with 26 cases
Abstract
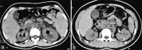
Background: Emphysematous pyelonephritis (EPN) is a necrotizing infection which results in gas within the renal parenchyma, collecting system, or perinephric tissue. A majority of cases occur in patients with diabetes mellitus (DM). In EPN, early aggressive medical treatment may avoid nephrectomy.
Aims: The aim of this study was to analyze the characteristics of patients with EPN with respect to patient demographics, clinical presentation, diagnostic investigations, microbiological findings, treatment modality and outcome, and the influence of prognostic factors on the outcome.
Materials and methods: We reviewed the hospital records of 26 patients with EPN for clinical, laboratory, radiological, and microbiological findings, treatments given, and outcome. The severity of EPN was graded as per the Huang classification. We applied the reported prognostic factors to our patients to find out whether these factors correlated with failure of conservative treatment.
Results: All the study subjects had DM and all but two of them were females. The majority of our patients (61.5%) had extensive EPN (class 3 or 4) and majority (76.9%) had two or more bad prognostic factors. Escherichia coli was the most common causative organism involved in 50% of our cases. Twenty-three (88.5%) of our patients responded to conservative treatment, two required nephrectomy, and one expired on conservative treatment.
Conclusions: In this series of patients with EPN, all had DM, nearly all were women, and E. coli was the most frequently isolated pathogen. Nearly a third of our patients had bilateral disease. Despite the presence of two or more bad prognostic factors and extensive EPN (class 3 or 4) in a majority of our patients, conservative treatment afforded a striking success rate of 88.5%. We recommend early aggressive medical treatment and suggest that nephrectomy should be considered only if patients deteriorate or do not improve on conservative treatment.
Keywords: Conservative treatment; diabetes mellitus; emphysematous pyelonephritis; gas-forming infection; necrotizing pyelonephritis.
Figures
References
-
- Zargar AH, Wani AI, Masoodi SR, Laway BA, Bashir MI. Mortality in diabetes mellitus – Data from a developing region of the world. Diabetes Res Clin Pract. 1999;43:67–74. - PubMed
-
- Shokeir AA, El-Azab M, Mohsen T, El-Diasty T. Emphysematous pyelonephritis: A 15-year experience with 20 cases. Urology. 1997;49:343–6. - PubMed
-
- Tang HJ, Li CM, Yen MY, Chen YS, Wann SR, Lin HH, et al. Clinical characteristics of emphysematous pyelonephritis. J Microbiol Immunol Infect. 2001;34:125–30. - PubMed
-
- Smitherman KO, Peacock JE., Jr Infectious emergencies in patients with diabetes mellitus. Med Clin North Am. 1995;79:53–77. - PubMed
-
- Schaeffer AJ. Infections of the urinary tract. In: Walsh PC, Retik AB, Vaughan ED, Wein AJ, Campbell M, editors. Campbell's Urology. 8th ed. Philadelphia, PA: Saunders; 2002. pp. 556–8.
LinkOut - more resources
Full Text Sources
Other Literature Sources
Research Materials
