Immature mediastinal teratoma with unusual histopathology: A case report of multi-lineage, somatic-type malignant transformation and a review of the literature
- PMID: 27367976
- PMCID: PMC4937890
- DOI: 10.1097/MD.0000000000003378
Immature mediastinal teratoma with unusual histopathology: A case report of multi-lineage, somatic-type malignant transformation and a review of the literature
Abstract
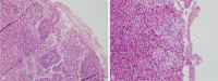
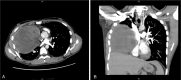
Germ cell tumors (GCTs) represent a well-recognized group of heterogeneous neoplasms with diverse clinical, histopathological, diagnostic, and prognostic characteristics. We present a rare case of a locally aggressive, chemotherapy-resistant immature mediastinal teratoma with a peculiar histological finding of a multilineage somatic-type malignant degeneration. A 21-year-old male patient presented with a 3-week history of persistent, blood-tinged productive cough and shortness of breath. A contrast-enhanced computed tomography (CT) scan of the chest showed a heterogeneous mass occupying the right hemithorax and abutting on adjacent structures. CT-guided biopsy was consistent with immature teratoma. Combination chemotherapy with bleomycin, etoposide, and cisplatin was initiated, albeit without success; the mass showed interval progression in size, and surgical resection through clamshell incision was performed. Histological assessment of the resected mass confirmed the diagnosis of immature teratoma and revealed an extensive multilineage malignant differentiation into sarcomatous, carcinomatous, and melanomatous components. The patient underwent an uneventful recovery but presented 2 months later with extensive liver and bone melanomatous metastases. In this report, relevant findings from the literature are also highlighted. Despite being exceptionally rare, such tumors carry poor prognosis. Understanding the clinicopathological characteristics and biological behavior of such tumors may provide an insight into interventions tailored to improve the otherwise dismal disease outlook.
Conflict of interest statement
The authors have no funding and conflicts of interest to disclose.
Figures






References
-
- Arora RS, Alston RD, Eden TO, et al. Comparative incidence patterns and trends of gonadal and extragonadal germ cell tumors in England, 1979 to 2003. Cancer 2012; 118:4290–4297. - PubMed
-
- Bokemeyer C, Nichols CR, Droz JP, et al. Extragonadal germ cell tumors of the mediastinum and retroperitoneum: results from an international analysis. J Clin Oncol 2002; 20:1864–1873. - PubMed
Publication types
MeSH terms
LinkOut - more resources
Full Text Sources
Other Literature Sources