Skip to main page content
U.S. flag

An official website of the United States government

Dot gov

The .gov means it’s official.
Federal government websites often end in .gov or .mil. Before sharing sensitive information, make sure you’re on a federal government site.

Https

The site is secure.
The https:// ensures that you are connecting to the official website and that any information you provide is encrypted and transmitted securely.

Access keys NCBI Homepage MyNCBI Homepage Main Content Main Navigation
. 2016 Jun 30;3(4):e254.
doi: 10.1212/NXI.0000000000000254. eCollection 2016 Aug.

Arterial ischemic stroke in HIV: Defining and classifying etiology for research studies

Affiliations

Arterial ischemic stroke in HIV: Defining and classifying etiology for research studies

Laura A Benjamin et al. Neurol Neuroimmunol Neuroinflamm. .

Abstract

HIV infection, and potentially its treatment, increases the risk of an arterial ischemic stroke. Multiple etiologies and lack of clear case definitions inhibit progress in this field. Several etiologies, many treatable, are relevant to HIV-related stroke. To fully understand the mechanisms and the terminology used, a robust classification algorithm to help ascribe the various etiologies is needed. This consensus paper considers the strengths and limitations of current case definitions in the context of HIV infection. The case definitions for the major etiologies in HIV-related strokes were refined (e.g., varicella zoster vasculopathy and antiphospholipid syndrome) and in some instances new case definitions were described (e.g., HIV-associated vasculopathy). These case definitions provided a framework for an algorithm to help assign a final diagnosis, and help classify the subtypes of HIV etiology in ischemic stroke.

PubMed Disclaimer

Figures

Figure 1.
Figure 1.. An algorithm to define the etiology of HIV-related ischemic stroke for research studies
Minimum battery of tests include the following: HIV test, full blood count and blood film and urine dipstix assay, anticardiolipin antibodies, lupus anticoagulant, anti–β2-glycoprotein, hemoglobin for sickle cell disease, serum syphilis treponemal (immunoassay + agglutination test) and nontreponemal tests, chest x-ray, CSF—microscopy, biochemistry, India ink and acid fast bacilli stains, blood culture, tuberculosis culture, unenhanced CT, ECG, and carotid/vertebral duplex ultrasound and echocardiography. APS = antiphospholipid syndrome; OI = opportunistic infection; TTP = thrombotic thrombocytopenic purpura.
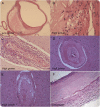
Figure 2.
Figure 2.. Different pathologic description of vasculopathy associated with HIV infection
(A, B) Atherosclerotic vasculopathy. (C) HIV-associated vasculitis. (D, arteriolosclerosis; E, lipohyalinosis) Small vessel disease. (F) Nonatherosclerotic vasculopathy. (A–E) From personal archives. (F) Reproduced with permission from the Archives of Neurology. 2006. 63: 1640–1642. Copyright© 2006 American Medical Association. All rights reserved.

References

    1. Hasse B, Ledergerber B, Furrer H, et al. . Morbidity and aging in HIV-infected persons: the Swiss HIV cohort study. Clin Infect Dis 2011;53:1130–1139. - PubMed
    1. Benjamin LA, Corbett EL, Connor MD, et al. . HIV, antiretroviral treatment, hypertension, and stroke in Malawian adults: a case-control study. Neurology 2016;86:324–333. - PMC - PubMed
    1. Thakur KT, Lyons JL, Smith BR, Shinohara RT, Mateen FJ. Stroke in HIV-infected African Americans: a retrospective cohort study. J Neurovirol 2016;22:50–55. - PubMed
    1. Benjamin LA, Bryer A, Emsley HC, Khoo S, Solomon T, Connor MD. HIV infection and stroke: current perspectives and future directions. Lancet Neurol 2012;11:878–890. - PMC - PubMed
    1. Adams HP Jr, Bendixen BH, Kappelle LJ, et al. . Classification of subtype of acute ischemic stroke: definitions for use in a multicenter clinical trial. TOAST. Trial of Org 10172 in Acute Stroke Treatment. Stroke 1993;24:35–41. - PubMed