Lymphoepithelioma-like carcinoma of the breast
- PMID: 27408653
- PMCID: PMC4921153
- DOI: 10.2484/rcr.v10i1.963
Lymphoepithelioma-like carcinoma of the breast
Abstract
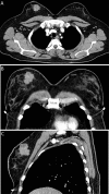
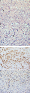
Lymphoepithelioma-like carcinoma of the breast is a rare malignancy, with fewer than 20 cases documented in the literature. Given the paucity of reported cases, there is limited information available to guide the diagnosis and management of patients with this tumor. We present a case of a 39-year-old woman with a palpable right breast mass that was initially diagnosed by core needle biopsy as infiltrating carcinoma with prominent lymphoplasmacytic stroma. Subsequent neoadjuvant chemotherapy with docetaxel, doxorubicin, and cyclophosphamide resulted in a marked decrease in the size of the mass. After wide local surgical excision, pathology revealed a lymphoepithelioma-like carcinoma of the breast. Given the excellent treatment response, our experience may help clinicians determine future therapeutic strategies for this rare breast tumor.
Figures





References
Publication types
LinkOut - more resources
Full Text Sources
Other Literature Sources