My patient has got abdominal pain: identifying biliary problems
- PMID: 27433223
- PMCID: PMC4760551
- DOI: 10.1177/1742271X14546181
My patient has got abdominal pain: identifying biliary problems
Abstract
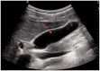
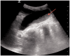
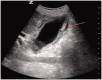
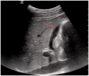
Right upper quadrant and epigastric abdominal pain are common presenting complaints in the emergency department. With increasing access to point-of-care ultrasound, emergency physicians now have an added tool to help identify biliary problems as a cause of a patient's right upper quadrant pain. Point-of-care ultrasound has a sensitivity of 89.8% (95% CI 86.4-92.5%) and specificity of 88.0% (83.7-91.4%) for cholelithiasis, very similar to radiology-performed ultrasonography. In addition to assessment for cholelithiasis and cholecystitis, point-of-care ultrasound can help emergency physicians to determine whether the biliary system is the source of infection in patients with suspected sepsis. Use of point-of-care ultrasound for the assessment of the biliary system has resulted in more rapid diagnosis, decreasing costs, and shorter emergency department length of stay.
Keywords: PoCUS; Point-of-care ultrasound; cholecystitis; cholelithiasis; emergency medicine; gallbladder.
Figures











References
-
- Everhart JE, Khare M, Hill M, et al. Prevalence and ethnic differences in gallbladder disease in the United States. Gastroenterology 1999; 117: 632–9. - PubMed
-
- Shafer EA. Epidemiology of gallbladder stone disease. Best Pract Res Clin Gastroenterol 2006; 20: 981–6. - PubMed
-
- Go V and Everhart JE. Gallstones. In: Digestive Diseases in the United States: Epidemiology and Impact. NIH Publication no. 94-1447, US Department of Health and Human Services, Public Health Service, National Institutes of Health, National Institute of Diabetes and Digestive and Kidney Diseases. Washington, DC: NIH, 1994:647–90.
-
- Powers RD, Guertler AT. Abdominal pain in the ED: stability and change over 20 years. Am J Emerg Med 1995; 13: 301–3. - PubMed
-
- Telfer S, Fenyö G, Holt PR, et al. Acute abdominal pain in patients over 50 years of age. Scand J Gastroenterol Suppl 1988; 144: 47–50. - PubMed
Publication types
LinkOut - more resources
Full Text Sources
Other Literature Sources