Skip to main page content
U.S. flag

An official website of the United States government

Dot gov

The .gov means it’s official.
Federal government websites often end in .gov or .mil. Before sharing sensitive information, make sure you’re on a federal government site.

Https

The site is secure.
The https:// ensures that you are connecting to the official website and that any information you provide is encrypted and transmitted securely.

Access keys NCBI Homepage MyNCBI Homepage Main Content Main Navigation
Review
. 2016 Feb;24(1):41-9.
doi: 10.1177/1742271X15617214. Epub 2016 Jan 14.

Contrast-enhanced ultrasound of the spleen

Affiliations
Review

Contrast-enhanced ultrasound of the spleen

Asha Omar et al. Ultrasound. 2016 Feb.

Abstract

Abnormalities in the spleen are less common than in most other abdominal organs. However, they will be regularly encountered by ultrasound practitioners, who carefully evaluate the spleen in their abdominal ultrasound studies. Conventional grey scale and Doppler ultrasound are frequently unable to characterise focal splenic abnormalities; even when clinical and laboratory information is added to the ultrasound findings, it is often not possible to make a definite diagnosis. Contrast-enhanced ultrasound (CEUS) is easy to perform, inexpensive, safe and will usually provide valuable additional information about splenic abnormalities, allowing a definitive or short differential diagnosis to be made. It also identifies those lesions that may require further imaging or biopsy, from those that can be safely dismissed or followed with interval ultrasound imaging. CEUS is also indicated in confirming the nature of suspected accessory splenic tissue and in selected patients with abdominal trauma. This article describes the CEUS examination technique, summarises the indications for CEUS and provides guidance on interpretation of the CEUS findings in splenic ultrasound.

Keywords: Spleen; contrast microbubbles; ultrasound; ultrasound contrast.

PubMed Disclaimer

Figures

Figure 1.
Figure 1.
Melanoma metastases. In this split screen image, the spleen has an inhomogeneous appearance on the low MI grey-scale image (to the readers’ right). On the late-phase CEUS image (readers’ left), contrast has washed out of the metastatic lesions and they are easily visualised within the enhanced splenic parenchyma.
Figure 2.
Figure 2.
Splenunculus. (a) An incidental finding of a soft tissue mass interposed between the spleen and left diaphragmatic crus (arrow) in this abdominal CT scan was interpreted as representing a left adrenal mass. Biochemical investigations for adrenal hyper-function were negative. (b) Grey-scale ultrasound demonstrates the mass deep to the spleen of similar echogenicity to splenic parenchyma (arrow). (c) Late-phase CEUS image shows that the mass remains avidly enhanced (identical to splenic parenchyma – arrows) indicating that this is a large unusually located splenunculus, not an adrenal mass.
Figure 3.
Figure 3.
Splenosis. (a) This patient has a history of splenectomy for trauma. As an incidental finding on CT, there is a large mass in the pancreatic tail showing rim calcification (arrow). (b) CEUS shows that the mass shows avid late-phase (7 min) enhancement indicating splenic tissue (arrows). (c) A nuclear medicine heat damaged red-cell scan image shows uptake of the radiopharmaceutical in the mass (arrow) confirming that it represents implanted splenic tissue (splenosis).
Figure 4.
Figure 4.
Splenic haematoma. (a) In this patient with severe acute pancreatitis, conventional ultrasound demonstrates an echogenic mass at the splenic hilum (adjacent to the pancreatic tail). (b) Late-phase CEUS study demonstrates that the mass demonstrates no enhancement, consistent with a perisplenic haematoma complicating pancreatitis.
Figure 5.
Figure 5.
Splenic haemangioma. (a) Incidentally discovered echogenic splenic mass. The grey-scale appearances are consistent with a haemangioma but it measures well over 2 cm in diameter. (b) In the arterial phase the mass is avidly enhanced and slightly hypervascular relative to adjacent splenic tissue (arrow). (c) In the late phase, the mass remains enhanced and is difficult to identify. The enhancement characteristics are those of a benign lesion and consistent with a haemangioma.
Figure 6.
Figure 6.
Large B cell lymphoma. (a) Incidental finding of a large echo-poor mass within the spleen. (b) Early-phase CEUS shows some enhancement predominantly within the periphery of the mass. (c) Late-phase CEUS shows that the bubbles have washed-out and the mass is almost completely unenhanced. In view of the malignant appearances a biopsy was performed showing large B cell lymphoma. (d) PET CT scan demonstrates that the lesion is intensely metabolically active and was shown to be the only site of disease.
Figure 7.
Figure 7.
Splenic infarction. (a) Grey-scale ultrasound shows an inhomogeneous splenic parenchyma with a lower echogenicity region in the middle third. (b) Late-phase CEUS split screen image shows a geographic region of reduced perfusion representing a large area of focal splenic infarction.
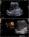
Figure 8.
Figure 8.
Splenic trauma. (a) Late-phase CEUS image demonstrating multiple splenic lacerations and intraparenchymal haematomas. (b) Corresponding CT image demonstrating splenic lacerations and perisplenic haematoma.

References

    1. Catalano O, Lobianco R, Sandomenico F, et al. Real-time contrast-enhanced ultrasound of the spleen: examination technique and preliminary clinical experience. Radiol Med 2003; 106: 338–356. - PubMed
    1. Goerg C, Schwerk WB, Goerg K. Sonography of focal lesions of the spleen. AJR Am J Roentgenol 1991; 156: 949–953. - PubMed
    1. Piscaglia F, Nolsøe C, Dietrich CF, et al. The EFSUMB guidelines and recommendations on the clinical practice of contrast enhanced ultrasound (CEUS): update 2011 on non-hepatic applications. Ultraschall Med 2012; 33: 33–59. - PubMed
    1. Piscaglia F, Bolondi L. The safety of Sonovue in abdominal applications: retrospective analysis of 23188 investigations. Ultrasound Med Biol 2006; 32: 1369–1375. - PubMed
    1. Lim AK, Patel N, Eckersley RJ, et al. Evidence for spleen-specific uptake of a microbubble contrast agent: a quantitative study in healthy volunteers 1. Radiology 2004; 231: 785–788. - PubMed

LinkOut - more resources