A case series and a review of the literature on foreign modelling agent reaction: an emerging problem
- PMID: 27488810
- PMCID: PMC7950136
- DOI: 10.1111/iwj.12643
A case series and a review of the literature on foreign modelling agent reaction: an emerging problem
Abstract
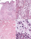
Foreign modelling agent reactions (FMAR) are the result of the injection of unapproved high-viscosity fluids with the purpose of cosmetic body modelling. Its consequences lead to ulceration, disfigurement and even death, and it has reached epidemic proportions in several regions of the world. We describe a series of patients treated for FMARs in a specialised wound care centre and a thorough review of the literature. A retrospective chart review was performed from January 1999 to September 2015 of patients who had been injected with non-medical foreign agents and who developed cutaneous ulceration needing treatment at the dermatology wound care centre. This study involved 23 patients whose ages ranged from 22 to 67 years with higher proportion of women and homosexual men. The most commonly injected sites were the buttocks (38·5%), legs (18%), thighs (15·4%) and breasts (11·8%). Mineral oil (39%) and other unknown substances (30·4%) were the most commonly injected. The latency period ranged from 1 week to 17 years. Complications included several skin changes such as sclerosis and ulceration as well as systemic complications. FMAR is a severe syndrome that may lead to deadly complications, and is still very common in Latin America.
Keywords: Autoimmune/inflammatory syndrome induced by adjuvants; Foreign body reaction; Foreign modelling agent reaction (FMAR); Human adjuvant disease; Iatrogenic allogenosis; Modelling disease; Oleoma; Paraffinoma; Siliconoma; Skin ulcer.
© 2016 Medicalhelplines.com Inc and John Wiley & Sons Ltd.
Figures




References
-
- Cabral AR, Alcocer‐Varela J, Orozco‐Topete R, Reyes E, Fernandez‐Dominguez L, Alarcon‐Segovia D. Clinical, histopathological, immunological and fibroblast studies in 30 patients with subcutaneous injections of modelants including silicone and mineral oils. Rev Invest Clin 1994;46:257–66. - PubMed
-
- Gersuny R. Ueber eine subcuyane prosthese. Z Heilik 1900;30:1–5.
-
- Gersuny R. Harte und weiche paraffinprosthesen. Zbl Chir 1903;30:1.
-
- Hollander E. Abstract from Berliner Gesellschaft fur Chirurgie. Munch Med Wochenschr 1912;59:2842.
-
- Kolle FS. Plastic and cosmetic surgery. New York: D. Appleton and Co., 1911:511.
Publication types
MeSH terms
Substances
LinkOut - more resources
Full Text Sources
Other Literature Sources
Medical