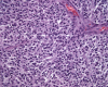
Novel PPP1CB-ALK fusion protein in a high-grade glioma of infancy
- PMID: 27530886
- PMCID: PMC5015163
- DOI: 10.1136/bcr-2016-217189
Novel PPP1CB-ALK fusion protein in a high-grade glioma of infancy
Figures


References
-
- Chiarle R, Voena C, Ambrogio C et al. . The anaplastic lymphoma kinase in the pathogenesis of cancer. Nat Rev Cancer 2008;8:11–23. doi:10.1038/nrc2291 - DOI - PubMed
-
- Cho YL, Min JK, Roh KM et al. . Phosphoprotein phosphatase 1CB (PPP1CB), a novel adipogenic activator, promotes 3T3-L1 adipogenesis. Biochem Biophys Res Commun 2015;467:211–17. doi:10.1016/j.bbrc.2015.10.004 - DOI - PubMed
Publication types
MeSH terms
Substances
LinkOut - more resources
Full Text Sources
Other Literature Sources
Medical