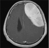
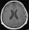
Giant Intracranial Solitary Plasmacytoma
- PMID: 27531229
- PMCID: PMC5774366
- DOI: 10.4274/tjh.2016.0199
Giant Intracranial Solitary Plasmacytoma
Conflict of interest statement
Figures



LinkOut - more resources
Full Text Sources
Other Literature Sources