Skip to main page content
U.S. flag

An official website of the United States government

Dot gov

The .gov means it’s official.
Federal government websites often end in .gov or .mil. Before sharing sensitive information, make sure you’re on a federal government site.

Https

The site is secure.
The https:// ensures that you are connecting to the official website and that any information you provide is encrypted and transmitted securely.

Access keys NCBI Homepage MyNCBI Homepage Main Content Main Navigation
. 2016 Aug 16:4:50.
doi: 10.1186/s40425-016-0152-y. eCollection 2016.

Cardiotoxicity associated with CTLA4 and PD1 blocking immunotherapy

Affiliations

Cardiotoxicity associated with CTLA4 and PD1 blocking immunotherapy

Lucie Heinzerling et al. J Immunother Cancer. .

Abstract

Immune-checkpoint blocking antibodies have demonstrated objective antitumor responses in multiple tumor types including melanoma, non-small cell lung cancer (NSCLC), and renal cell cancer (RCC). In melanoma, an increase in overall survival has been demonstrated with anti-CTLA-4 and PD-1 inhibition. However, a plethora of immune-mediated adverse events has been reported with these agents. Immune-mediated cardiotoxicity induced by checkpoint inhibitors has been reported in single cases with variable presentation, including myocarditis and pericarditis. Among six clinical cancer centers with substantial experience in the administration of immune-checkpoint blocking antibodies, eight cases of immune-related cardiotoxicity after ipilimumab and/or nivolumab/pembrolizumab were identified. Diagnostic findings, treatment and follow-up are reported. A large variety of cardiotoxic events with manifestations such as heart failure, cardiomyopathy, heart block, myocardial fibrosis and myocarditis was documented. This is the largest case series to date describing cardiotoxicity of immune-checkpoint blocking antibodies. Awareness, monitoring of patients with pre-existing cardiac disorders and prompt evaluation by the treatment team is essential. Treatment including application of steroids is critical for patient safety.

Keywords: Cardiomyopathy; Checkpoint inhibitor; Immune-related adverse events; Immunotherapy; Ipilimumab; Melanoma; Myocarditis; Nivolumab; Pembrolizumab.

PubMed Disclaimer

Figures

Fig. 1
Fig. 1
Histologic presentation of case 1. Endomyocardial biopsy shows interstitial fibrosis with some interstitial lymphocytes. Signs of hypertrophy are detectable
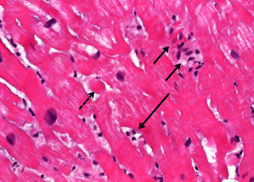
Fig. 2
Fig. 2
Histologic presentation of case 5. a H&E stain of the endomyocardial biopsy shows patchy lymphohistiocytic infiltrates associated with myocyte damage, diagnostic for lymphocytic myocarditis. b IHC stain for CD3 highlights in brown T cells within the inflammatory infiltrate (c) IHC stain for CD8 highlights in brown T cells within the inflammatory infiltrate (d) IHC stain for CD68 shows many histiocytes/macrophages within the myocardial inflammation

References

    1. Hodi FS, O'Day SJ, McDermott DF, Weber RW, Sosman JA, Haanen JB, et al. Improved survival with ipilimumab in patients with metastatic melanoma. N Engl J Med. 2010;363:711–723. doi: 10.1056/NEJMoa1003466. - DOI - PMC - PubMed
    1. Robert C, Thomas L, Bondarenko I, O'Day S, Weber J, Garbe C, et al. Ipilimumab plus dacarbazine for previously untreated metastatic melanoma. N Engl J Med. 2011;364:2517–2526. doi: 10.1056/NEJMoa1104621. - DOI - PubMed
    1. Topalian SL, Sznol M, McDermott DF, Kluger HM, Carvajal RD, Sharfman WH, et al. Survival, durable tumor remission, and long-term safety in patients with advanced melanoma receiving nivolumab. J Clin Oncol. 2014;32:1020–1030. doi: 10.1200/JCO.2013.53.0105. - DOI - PMC - PubMed
    1. Larkin J, Chiarion-Sileni V, Gonzalez R, Grob JJ, Cowey CL, Lao CD, et al. Combined Nivolumab and Ipilimumab or Monotherapy in Untreated Melanoma. N Engl J Med. 2015;373:23–34. doi: 10.1056/NEJMoa1504030. - DOI - PMC - PubMed
    1. Hamid O, Robert C, Daud A, Hodi FS, Hwu WJ, Kefford R, et al. Safety and tumor responses with lambrolizumab (anti-PD-1) in melanoma. N Engl J Med. 2013;369:134–144. doi: 10.1056/NEJMoa1305133. - DOI - PMC - PubMed