The Japan Lung Cancer Society-Japanese Society for Radiation Oncology consensus-based computed tomographic atlas for defining regional lymph node stations in radiotherapy for lung cancer
- PMID: 27609192
- PMCID: PMC5321185
- DOI: 10.1093/jrr/rrw076
The Japan Lung Cancer Society-Japanese Society for Radiation Oncology consensus-based computed tomographic atlas for defining regional lymph node stations in radiotherapy for lung cancer
Abstract
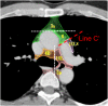
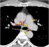
The purpose of this study was to develop a consensus-based computed tomographic (CT) atlas that defines lymph node stations in radiotherapy for lung cancer based on the lymph node map of the International Association for the Study of Lung Cancer (IASLC). A project group in the Japanese Radiation Oncology Study Group (JROSG) initially prepared a draft of the atlas in which lymph node Stations 1-11 were illustrated on axial CT images. Subsequently, a joint committee of the Japan Lung Cancer Society (JLCS) and the Japanese Society for Radiation Oncology (JASTRO) was formulated to revise this draft. The committee consisted of four radiation oncologists, four thoracic surgeons and three thoracic radiologists. The draft prepared by the JROSG project group was intensively reviewed and discussed at four meetings of the committee over several months. Finally, we proposed definitions for the regional lymph node stations and the consensus-based CT atlas. This atlas was approved by the Board of Directors of JLCS and JASTRO. This resulted in the first official CT atlas for defining regional lymph node stations in radiotherapy for lung cancer authorized by the JLCS and JASTRO. In conclusion, the JLCS-JASTRO consensus-based CT atlas, which conforms to the IASLC lymph node map, was established.
Keywords: CT atlas; lung cancer; lymph nodes; radiotherapy.
© The Author 2016. Published by Oxford University Press on behalf of The Japan Radiation Research Society and Japanese Society for Radiation Oncology.
Figures
Comment in
-
Reply to 'Addressing the challenge of proper delineation of lymph node stations in modern radiotherapy for lung cancer'.J Radiat Res. 2018 Jul 1;59(4):524-525. doi: 10.1093/jrr/rry040. J Radiat Res. 2018. PMID: 29788492 Free PMC article. No abstract available.
References
-
- Rusch VW, Asamura H, Watanabe H, et al. . The IASLC lung cancer staging project: a proposal for a new international lymph node map in the forthcoming seventh edition of the TNM classification for lung cancer. J Thorac Oncol 2009;4:568–77. - PubMed
-
- Naruke T, Suemasu K, Ishikawa S.. Lymph node mapping and curability at various levels of metastasis in resected lung cancer. J Thorac Cardiovasc Surg 1978;76:832–9. - PubMed
-
- Mountain CF, Dresler CM.. Regional lymph node classification for lung cancer staging. Chest 1997;111:1718–23. - PubMed
-
- Grégoire V, Ang K, Budach W, et al. . Delineation of the neck node levels for head and neck tumors: a 2013 update. DAHANCA, EORTC, HKNPCSG, NCIC CTG, NCRI, RTOG, TROG consensus guidelines. Radiother Oncol 2014;110:172–81. - PubMed
MeSH terms
LinkOut - more resources
Full Text Sources
Other Literature Sources
Medical
